
Αισθητική αποκατάσταση άνω προσθίων δοντιών με όψεις ρητίνης
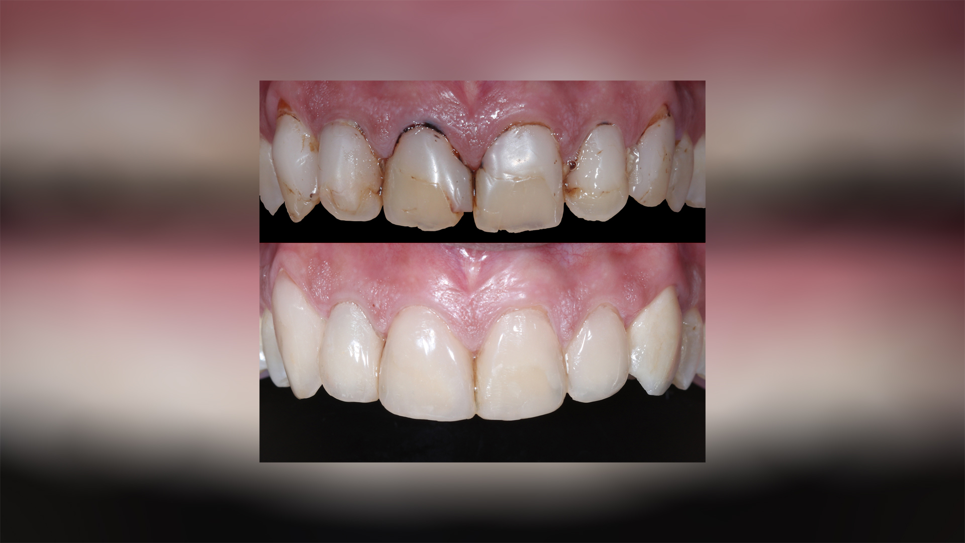
Ασθενής με παλιές κακότεχνες και ακαλαίσθητες εμφράξεις στα πρόσθια άνω δόντια προσήλθε στην κλινική μας για την αισθητική αντιμετώπιση του προβλήματός του.
Μετά από μια πλήρη κλινική και ακτινογραφική εξέταση της οδοντοστοιχίας του ασθενούς, διαπιστώθηκε ότι ο άνω δεξιά πλάγιος τομέας είχε νέκρωση του πολφού (νεύρου) του και εσωτερική απορρόφηση. Έτσι, σε πρώτο στάδιο πραγματοποιήθηκε ενδοδοντική θεραπεία στο δόντι αυτό.
Στην συνέχεια, διενεργήθηκε ένα προκαταρκτικό εργαστηριακό κέρωμα των έξι άνω προσθίων δοντιών, ούτως ώστε ο ασθενής να έχει μια πρώτη εικόνα των τελικών αποκαταστάσεων, πριν ακόμα αυτές μπουν στο στόμα του. Παράλληλα, είχε τη δυνατότητα σε αυτή την φάση να εκφράσει την άποψή του για την αισθητική και το σχήμα των μελλοντικών του δοντιών και οι αλλαγές αυτές να ενσωματωθούν στο διαγνωστικό κέρωμα.
Στο προσθετικό στάδιο της θεραπείας, λόγω της μεγάλης απώλειας οδοντικής ουσίας που προϋπήρχε, αποφασίστηκε ο άνω αριστερά κυνόδοντας να αποκατασταθεί με μία ολοκεραμική στεφάνη ζιρκονίου, ενώ τα υπόλοιπα πέντε δόντια αποκαταστάθηκαν με άμεσες όψεις ρητίνης, καθ’ εικόνα και ομοίωσην του διαγνωστικού κερώματος που είχε προηγηθεί.
*Το περιεχόμενο της παρούσας δημοσίευσης έχει ενημερωτικό και εκπαιδευτικό χαρακτήρα. Οι εικόνες των περιστατικών δημοσιεύονται με ρητή συναίνεση των ασθενών. Κάθε θεραπεία είναι εξατομικευμένη και τα αποτελέσματα μπορεί να διαφέρουν από ασθενή σε ασθενή.








