
Αισθητική διόρθωση συνωστισμού και ήπιας φθοράς των πρόσθιων δοντιών με λεύκανση και άμεσες αποκαταστάσεις ρητίνης
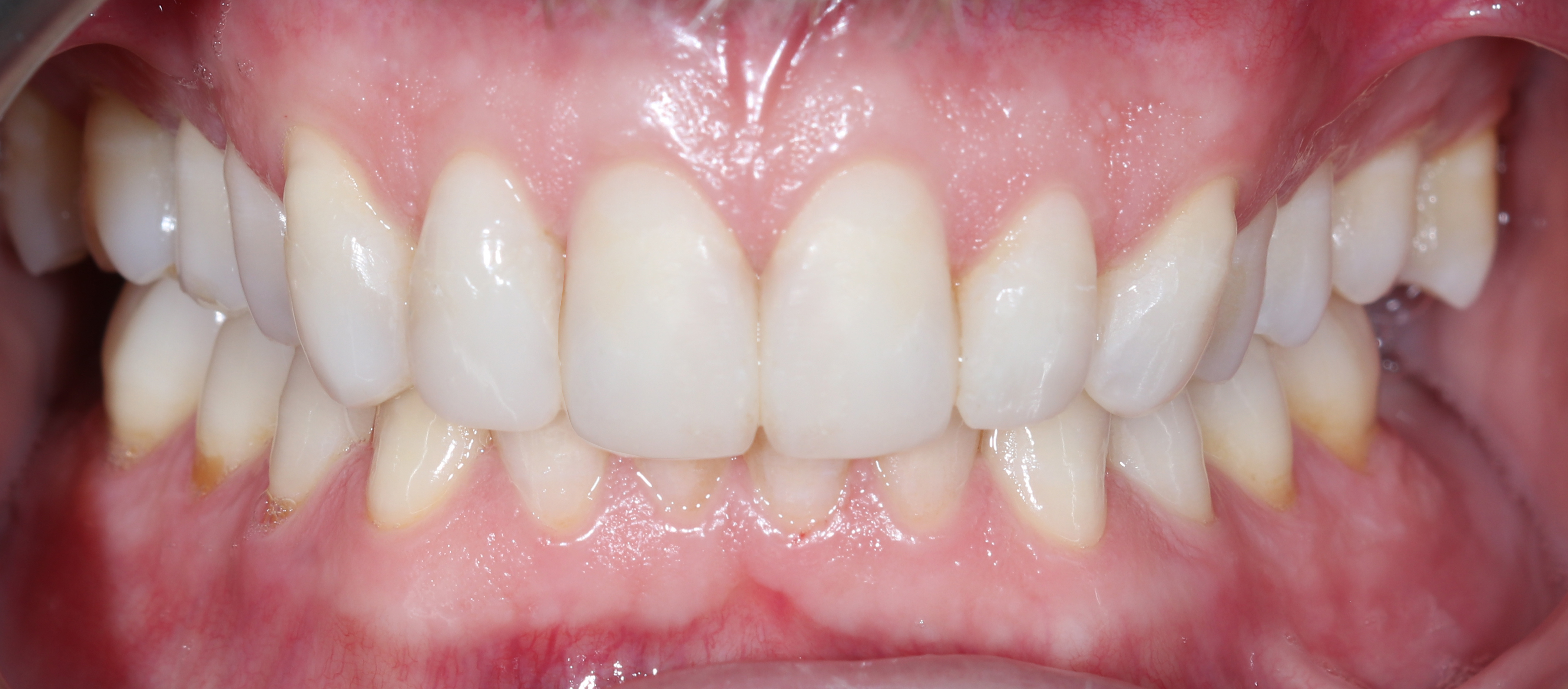
Κλινική εικόνα
Νεαρός ασθενής προσήλθε στο Aesthetic Dental Studio στην Καλαμάτα με συνωστισμό στους κεντρικούς τομείς της άνω γνάθου και ήπια φθορά στην κοπτική (κάτω) επιφάνεια των έξι άνω πρόσθιων δοντιών, ζητώντας αισθητική βελτίωση του χαμόγελού του.
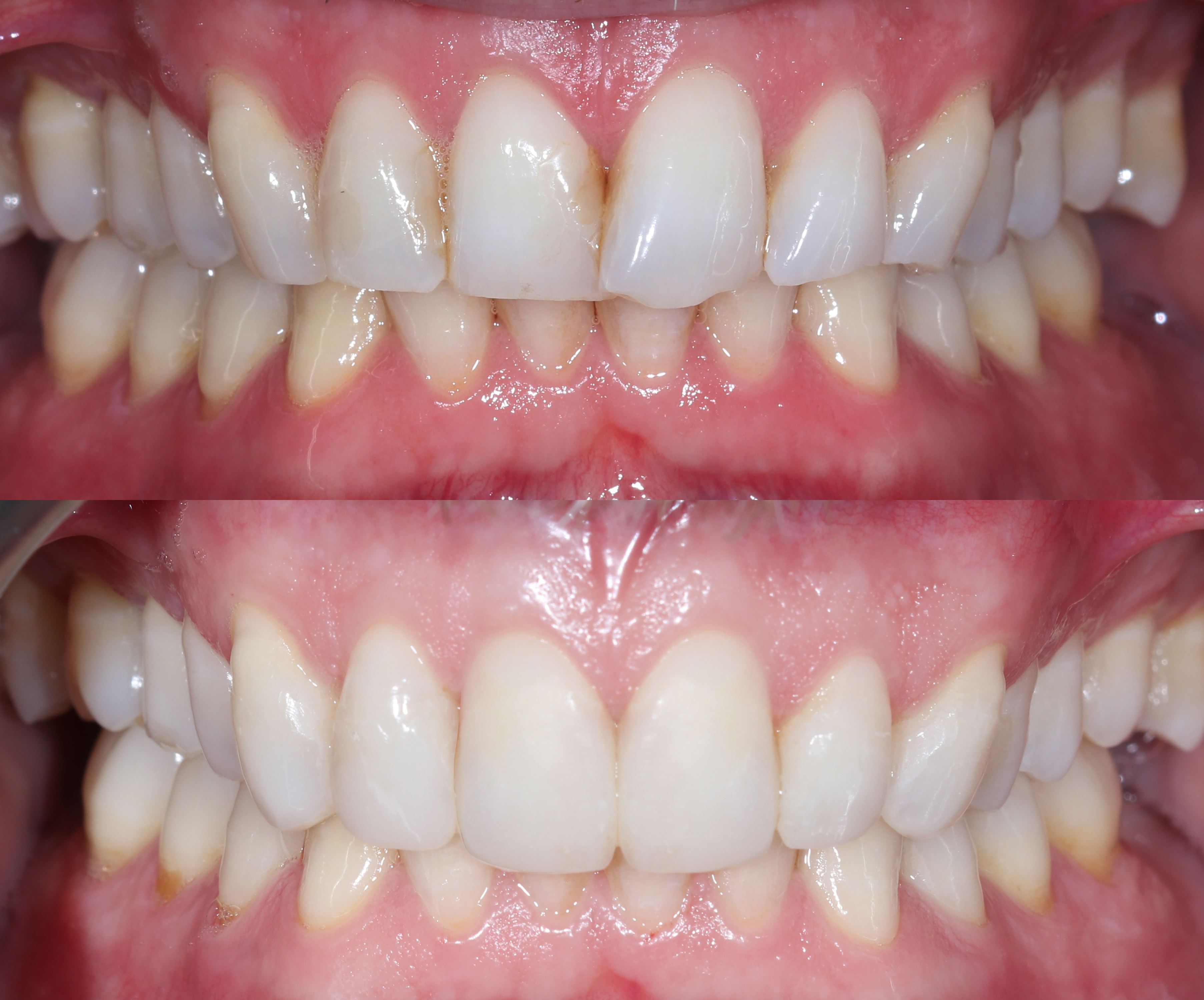
Αρχική κλινική εκτίμηση και σχέδιο θεραπείας
Αρχικά προτάθηκε ορθοδοντική θεραπεία για τη διόρθωση του συνωστισμού, η οποία απορρίφθηκε από τον ασθενή. Ως εναλλακτική, ελάχιστα επεμβατική λύση, επιλέχθηκε η χρήση σύνθετης ρητίνης για την αποκατάσταση των αισθητικών προβλημάτων.
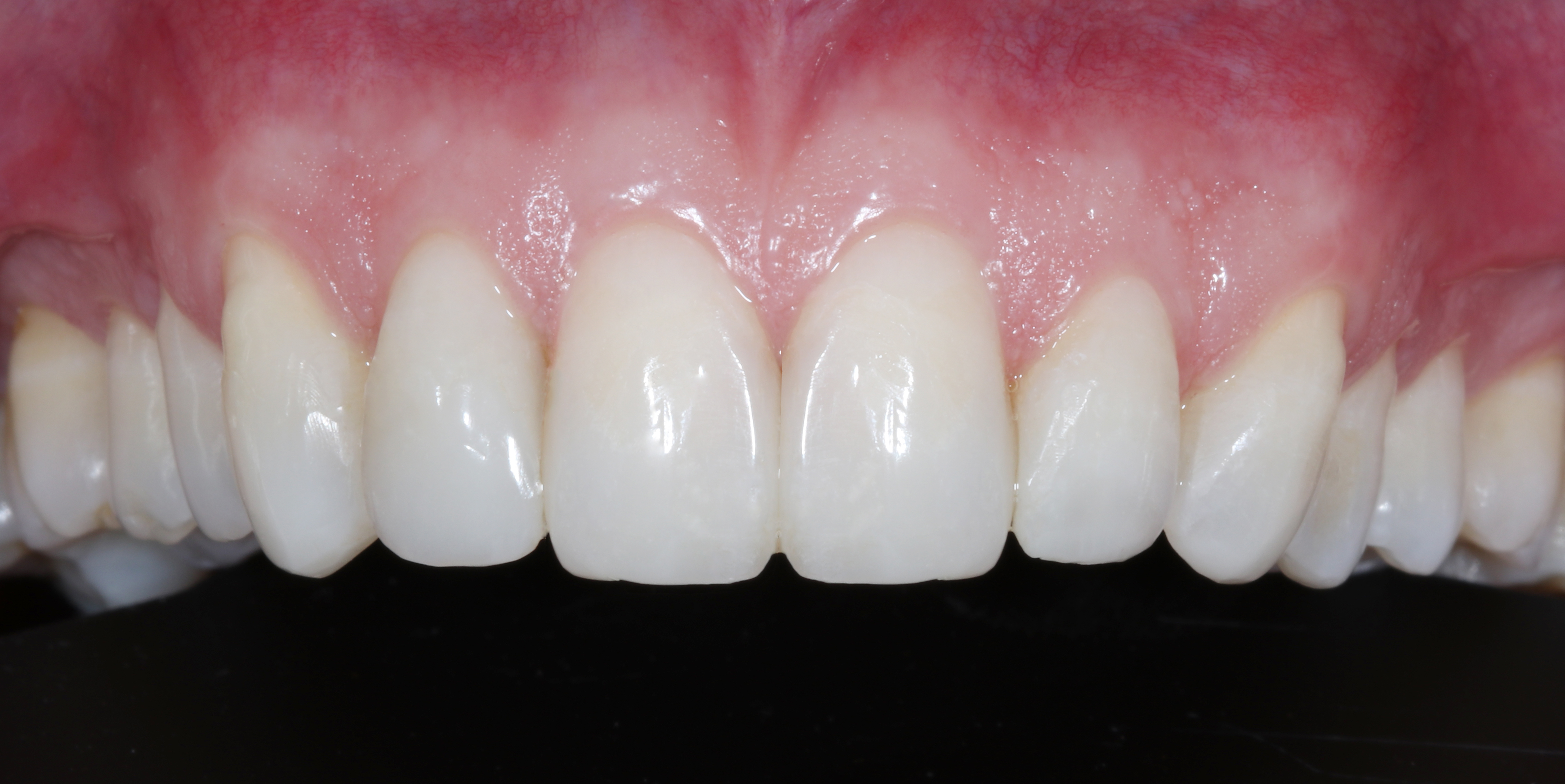
Εκτέλεση θεραπείας
Σε πρώτη φάση πραγματοποιήθηκε λεύκανση δοντιών, ώστε το χρώμα των αποκαταστάσεων να εναρμονιστεί με το φυσικό λευκό των δοντιών μετά τη λεύκανση. Στο δεύτερο και τελικό στάδιο, εφαρμόστηκε σύνθετη ρητίνη:
• για τη διόρθωση της θέσης των δύο άνω κεντρικών τομέων, και
• για την αποκατάσταση των φθαρμένων κοπτικών ακμών όλων των έξι άνω πρόσθιων δοντιών.
Το τελικό αποτέλεσμα ήταν φυσικό, εναρμονισμένο και αισθητικά άρτιο.
*Το περιεχόμενο της παρούσας δημοσίευσης έχει ενημερωτικό και εκπαιδευτικό χαρακτήρα. Οι εικόνες των περιστατικών δημοσιεύονται με ρητή συναίνεση των ασθενών. Κάθε θεραπεία είναι εξατομικευμένη και τα αποτελέσματα μπορεί να διαφέρουν από ασθενή σε ασθενή.






