
Αισθητική μεταμόρφωση χαμόγελου με Digital Smile Design και ολοκεραμικές αποκαταστάσεις ζιρκονίου
Κλινική εικόνα και ανάγκες της ασθενούς
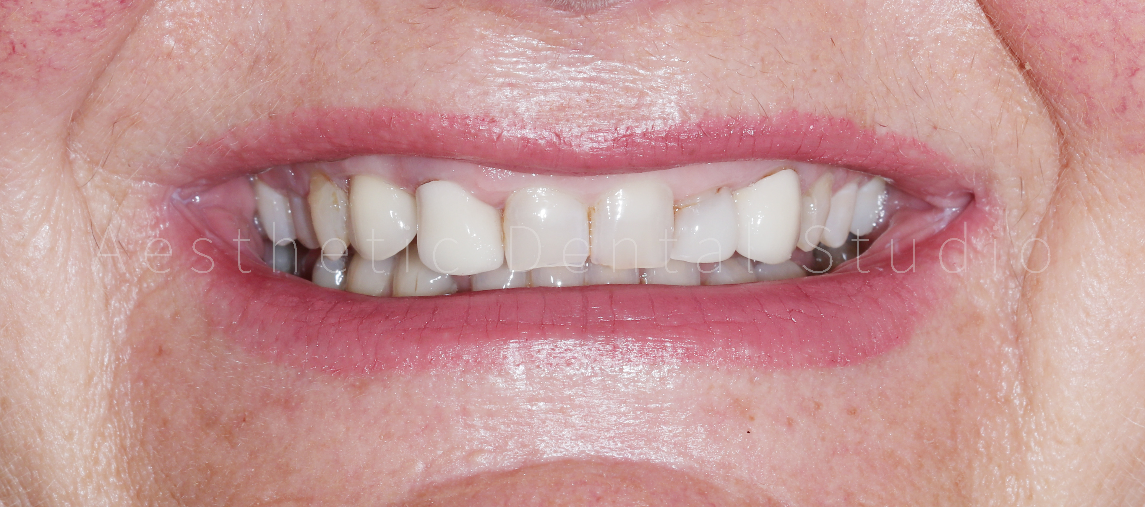
Ασθενής από τη Δυτική Ευρώπη επισκέφθηκε το Aesthetic Dental Studio κατά τη διάρκεια των διακοπών της στην Καλαμάτα, με βασικό στόχο τη βελτίωση της αισθητικής του χαμόγελού της. Η αρχική εικόνα παρουσίαζε ανομοιομορφία στο σχήμα και το χρώμα των προσθίων δοντιών, φθορά των κοπτικών άκρων και παλαιές αποκαταστάσεις που αλλοίωναν τη συνολική αρμονία του χαμόγελου. Η ασθενής ε πιθυμούσε ένα φυσικό αλλά αισθητικά άρτιο αποτέλεσμα, διατηρώντας την αυθεντικότητα των χαρακτηριστικών του προσώπου της.
Θεραπευτικός σχεδιασμός και προετοιμασία
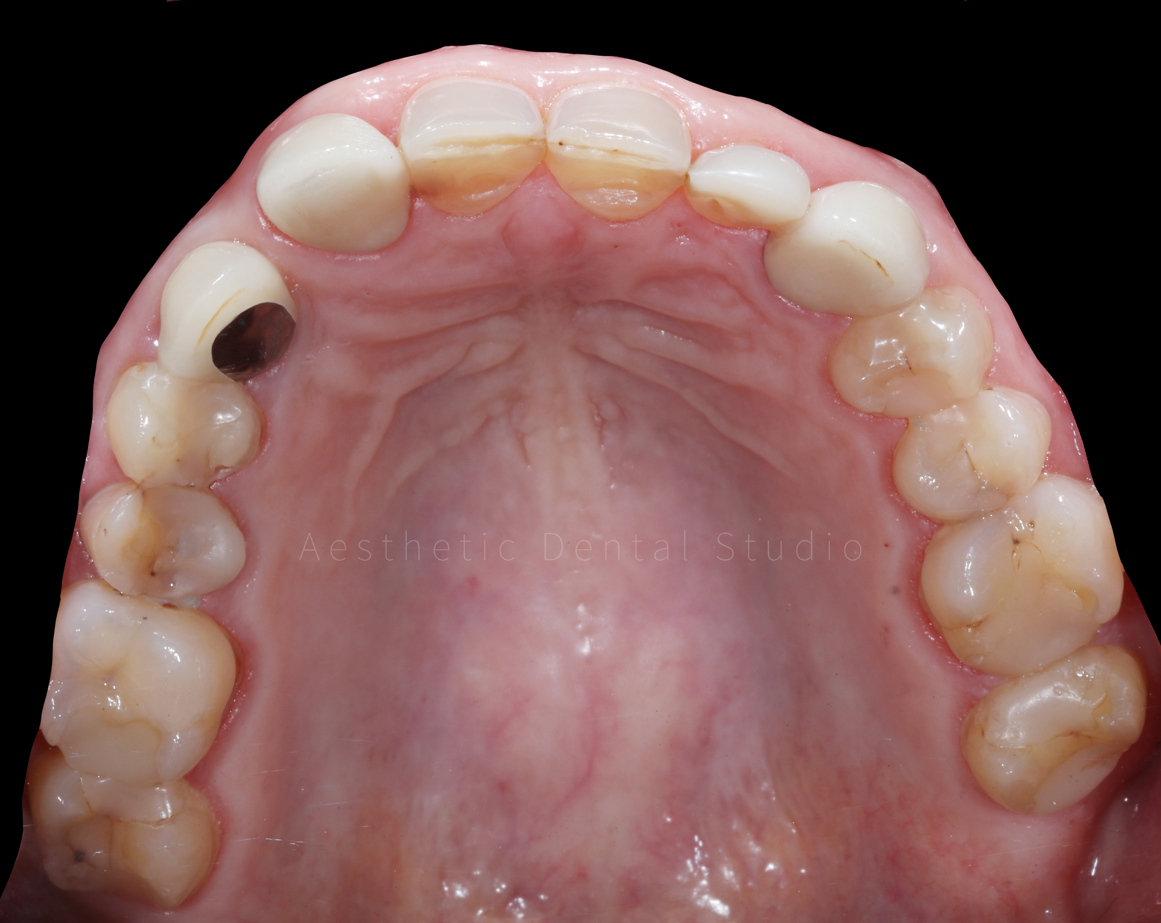
Ο θεραπευτικός στόχος ήταν η αισθητική αποκατάσταση των 10 άνω προσθίων δοντιών με όψεις και ολοκεραμικές στεφάνες από ζιρκόνιο, συνδυάζοντας λειτουργικότητα και φυσικότητα. Η θεραπεία εντάχθηκε σε σφιχτό χρονικό πλαίσιο 10 ημερών, ώστε να ολοκληρωθεί εντός της παραμονής της ασθενούς στην Καλαμάτα.
Το πρώτο στάδιο της θεραπέιας περιελάμβανε την ψηφιακή ανάλυση του χαμόγελου (Digital Smile Design), όπου με τη χρήση φωτογραφιών, βίντεο και ειδικού λογισμικού, σχεδιάστηκε το νέο χαμόγελο λαμβάνοντας υπόψη τις αναλογίες του προσώπου, των χειλιών και της φώνησης. Με βάση τον ψηφιακό σχεδιασμό, δημιουργήθηκαν διαγνωστικά εκμαγεία και προσωρινές αποκαταστάσεις, ώστε η ασθενής να δοκιμάσει το μελλοντικό της χαμόγελο πριν την τελική εφαρμογή.
Κλινική στάδια και αισθητική αποκατάσταση
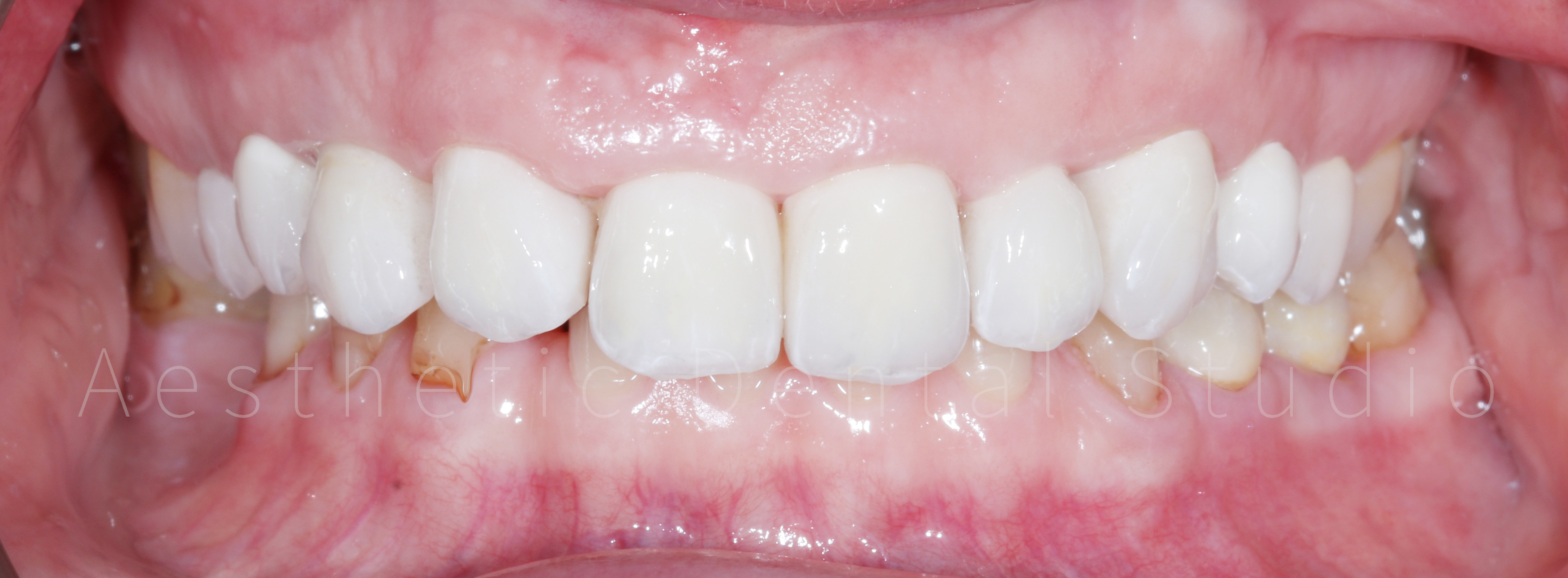
Ακολούθησε η προετοιμασία των δοντιών και η λήψη ψηφιακών αποτυπωμάτων με ενδοστοματικό σαρωτή, τα οποία στάλθηκαν στο συνεργαζόμενο εργαστήριο. Εκεί σχεδιάστηκαν και κατασκευάστηκαν ολοκεραμικές αποκαταστάσεις υψηλής αισθητικής, με απόλυτη ακρίβεια εφαρμογής και χρωματική φυσικότητα. Οι τελικές όψεις και στεφάνες τοποθετήθηκαν στα δόντια της ασθενούς μετά από προσεκτικό έλεγχο αισθητικής, φώνησης και λειτουργίας, επιτυγχάνοντας απόλυτη εναρμόνιση με το πρόσωπο.
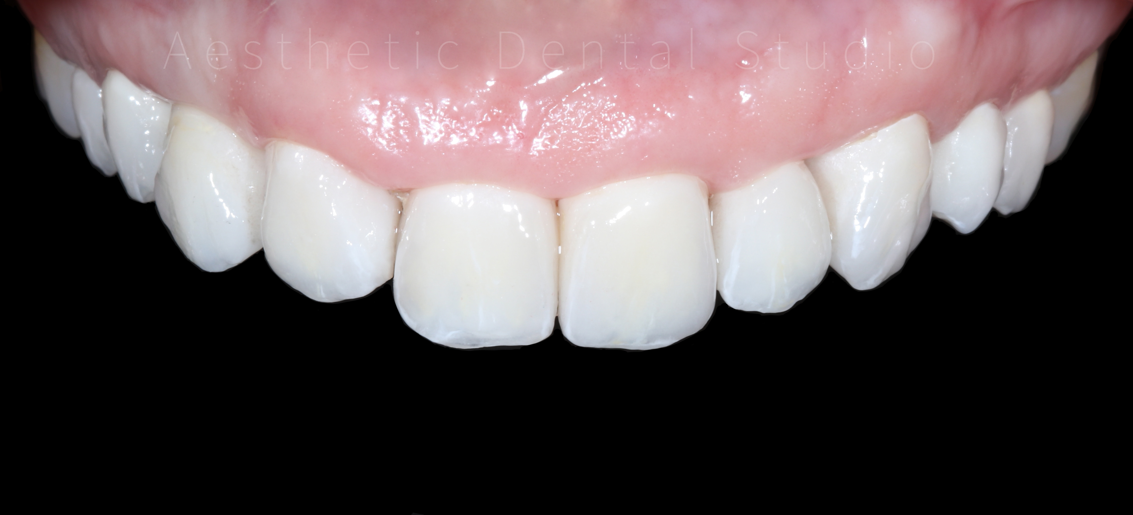
Τελικό αποτέλεσμα
Το τελικό χαμόγελο ήταν φυσικό, φωτεινό και αρμονικό, αναδεικνύοντας τα χαρακτηριστικά της ασθενούς, χωρίς υπερβολές. Η θεραπεία ολοκληρώθηκε μέσα σε 10 ημέρες, συνδυάζοντας αισθητική αριστεία, λειτουργική σταθερότητα και άριστο χρονοπρογραμματισμό. Η ασθενής αναχώρησε από την Καλαμάτα με ένα εντελώς ανανεωμένο χαμόγελο, απολαμβάνοντας τη μοναδική εμπειρία ενός αισθητικού ταξιδιού οδοντιατρικής φροντίδας στην Ελλάδα
*Το περιεχόμενο της παρούσας δημοσίευσης έχει ενημερωτικό και εκπαιδευτικό χαρακτήρα. Οι φωτογραφίες του περιστατικού δημοσιεύονται με ρητή συναίνεση της ασθενούς. Κάθε θεραπεία είναι εξατομικευμένη και τα αποτελέσματα μπορεί να διαφέρουν από ασθενή σε ασθενή.