
Εσωτερική λεύκανση αποχρωματισμένου δοντιού
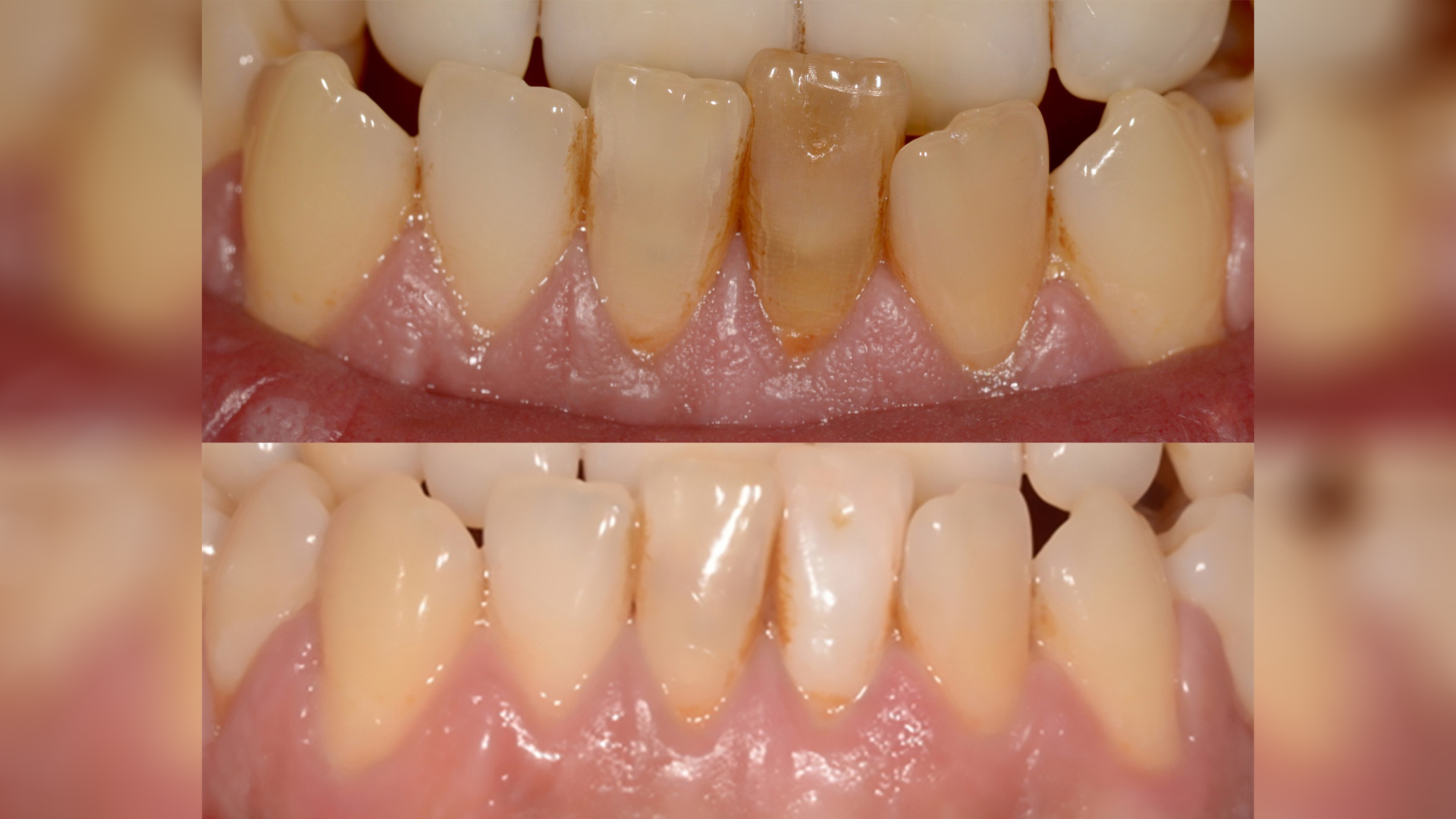
Ασθενής με δυσχρωμικό κάτω αριστερό κεντρικό τομέα προσήλθε στην κλινική μας για την αισθητική αντιμετώπιση του προβλήματός του.
Μετά την κλινική και ακτινογραφική εξέταση διαπιστώθηκε ότι ο λόγος του αποχρωματισμού ήταν η εσωτερική απορρόφηση του δοντιού και η επακόλουθη νέκρωση του πολφού (νεύρου) του.
Μετά την πραγματοποίηση της ενδοδοντικής θεραπείας, έγινε συνδυασμός εσωτερικής και εξωτερικής λεύκανσης στο συγκεκριμένο δόντι και το χρώμα επανήλθε στο φυσιολογικό.
*Το περιεχόμενο της παρούσας δημοσίευσης έχει ενημερωτικό και εκπαιδευτικό χαρακτήρα. Οι εικόνες των περιστατικών δημοσιεύονται με ρητή συναίνεση των ασθενών. Κάθε θεραπεία είναι εξατομικευμένη και τα αποτελέσματα μπορεί να διαφέρουν από ασθενή σε ασθενή.




