
Κλείσιμο διασημάτων στα πρόσθια άνω δόντια με όψεις πορσελάνης
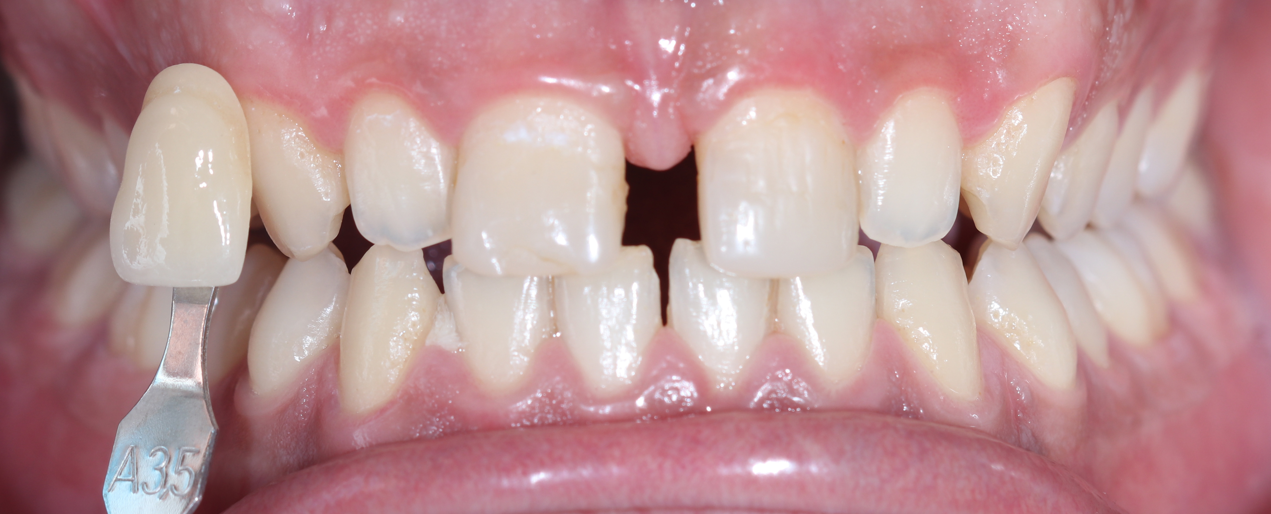
Ασθενής με αραιοδοντία, μικρά δόντια και μεγάλο κενό μεταξύ των κετρικών τομέων της άνω γνάθου προσήλθε στην κλινική μας για την αισθητική αντιμετώπιση του προβλήματός του.
Αποφασίστηκε η τοποθέτηση τεσσάρων όψεων πορσελάνης στους τέσσερις τομείς της άνω γνάθου για την διόρθωση του σχήματος και του κενού μεταξύ των δοντιών.
Πριν την κατασκευή των όψεων, πραγματοποιήθηκε λεύκανση των παρακείμενων δοντιών και διαγνωστικό κέρωμα, ώστε ο ασθενής να γνωρίζει το ακριβ ές σχήμα των όψεων πριν από την τοποθέτησή τους στο στόμα.
*Το περιεχόμενο της παρούσας δημοσίευσης έχει ενημερωτικό και εκπαιδευτικό χαρακτήρα. Οι εικόνες των περιστατικών δημοσιεύονται με ρητή συναίνεση των ασθενών. Κάθε θεραπεία είναι εξατομικευμένη και τα αποτελέσματα μπορεί να διαφέρουν από ασθενή σε ασθενή.







