klironko@otenet.gr
  +30 27210 93600
  Αριστομένους 79-81, Καλαμάτα, 2oς όροφος
Δείτε περιστατικό αποκατάστασης με οδοντικά εμφυτεύματα στην κάτω γνάθο στο Aesthetic Dental Studio στην Καλαμάτα από ειδικό εμφυτευματολόγο. Απόλυτη ακρίβεια και ψηφιακός σχεδιασμός.

Αποκατάσταση οπισθίων δοντιών με δύο εμφυτεύματα

Κλινική εικόνα και συμπτώματα

Ασθενής προσήλθε στο Aesthetic Dental Studio στην Καλαμάτα με απώλεια δύο οπισθίων δοντιών (1ος και 2ος γομφίος) στη δεξιά πλευρά της κάτω γνάθου. Ζητούσε μια μόνιμη, σταθερή λύση αποκατάστασης χωρίς τη χρήση κινητής οδοντοστοιχίας. Η θεραπευτική μας προσέγγιση βασίστηκε στην ψηφιακή τεχνολογία και τον εξατομικευμένο σχεδιασμό για το καλύτερο αισθητικό και λειτουργικό αποτέλεσμα.


Αρχική κλινική εκτίμηση και σχέδιο θεραπείας

Η κλινική εξέταση έδειξε επαρκή μαλακά μόρια και ικανοποιητικό προσθετικό χώρο με τα δόντια του αντίστοιχου φραγμού. Παρατηρήθηκαν επίσης εκτεταμένες εμφράξεις και τερηδόνες στα δύο δόντια μπροστά από το κενό, γεγονός που οδήγησε στην απόφαση για αποκατάστασή τους με ολόκεραμικες στεφάνες ζιρκονίου.

Παράλληλα, αποφασίστηκε η λήψη τρισδιάστατης αξονικής ακτινογραφίας (CBCT) για αξιολόγηση του διαθέσιμου οστού και του ανατομικού χώρου, ως απαραίτητο βήμα πριν την τοποθέτηση των εμφυτευμάτων.


Ψηφιακός χειρουργικός σχεδιασμός

Με βάση την CBCT της κάτω γνάθου, προχωρήσαμε στον εικονικό σχεδιασμό των εμφυτευμάτων μέσω ειδικού προεγχειρητικού λογισμικού. Αξιολογήθηκε το ύψος, το πάχος και η ποιότητα του οστού, καθώς και η σχέση με κρίσιμες ανατομικές δομές όπως το κάτω φατνιακό νεύρο.

Ο τελικός σχεδιασμός στάλθηκε σε εξειδικευμένο εμφυτευματολογικό κέντρο στη Γερμανία, όπου κατασκευάστηκε εξατομικευμένος χειρουργικός νάρθηκας, βασισμένος στην ανατομία της ασθενούς και τον ψηφιακό σχεδιασμό.


Χειρουργική τοποθέτηση εμφυτευμάτων

Η τοποθέτηση των δύο εμφυτευμάτων πραγματοποιήθηκε με απόλυτη ακρίβεια, χρησιμοποιώντας τον τρισδιάστατα εκτυπωμένο χειρουργικό οδηγό. Η χρήση ψηφιακής τεχνολογίας εξασφάλισε ταχύτητα, χειρουργική ακρίβεια χιλιοστού, μηδαμινό τραύμα, και ελαχιστοποίηση των χειρουργικών επιπλοκών.


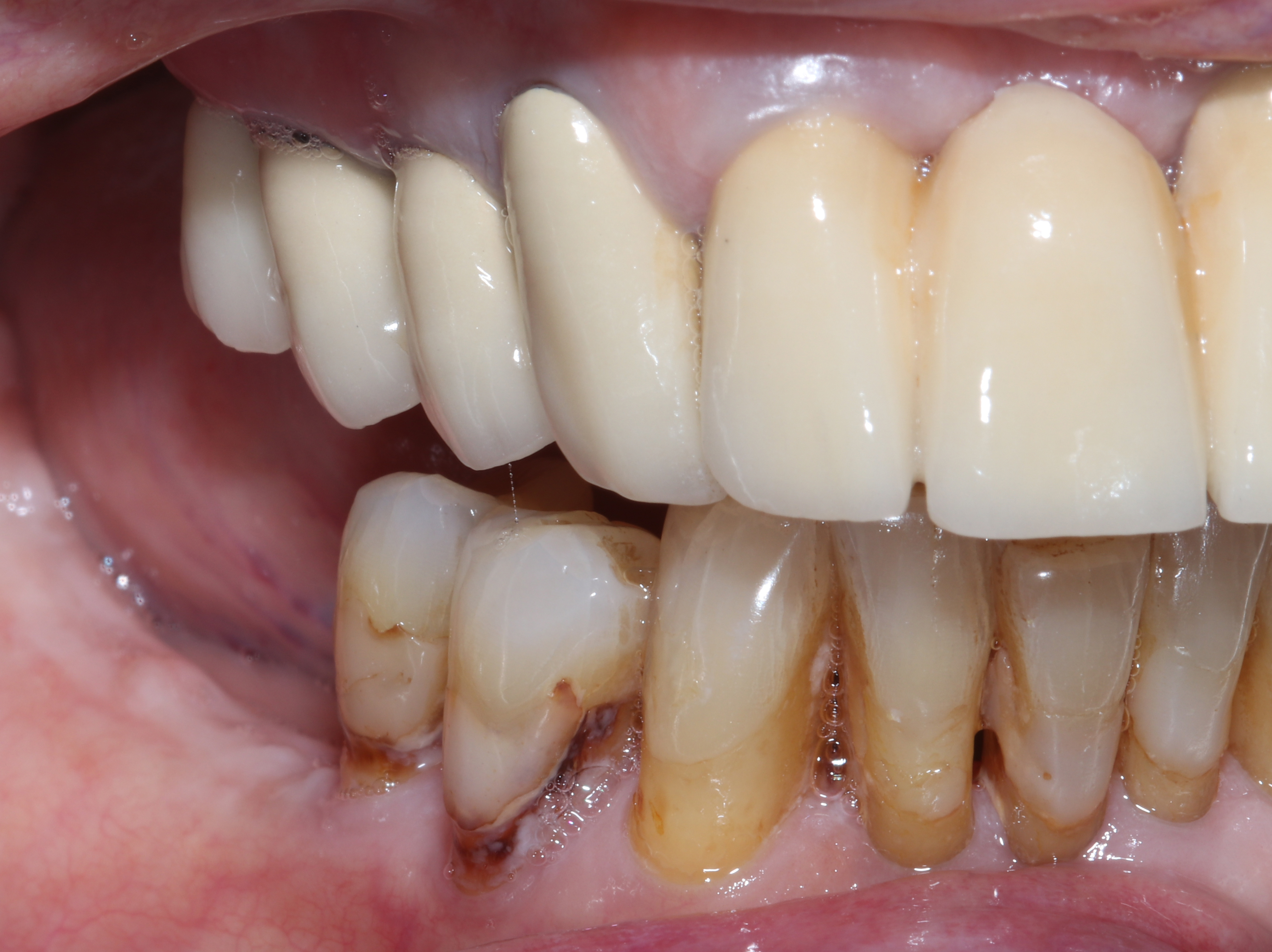
Τελική προσθετική αποκατάσταση

Μετά την επιτυχή οστεοενσωμάτωση, προχωρήσαμε σε ψηφιακή αποτύπωση με ενδοστοματικό σαρωτή και στην κατασκευή:

  • Ακίνητης ολοκεραμικής γέφυρας ζιρκονίου δύο τεμαχίων επάνω στα εμφυτεύματα

  • Δύο στεφανών ζιρκονίου στους παρακείμενους προγομφίους

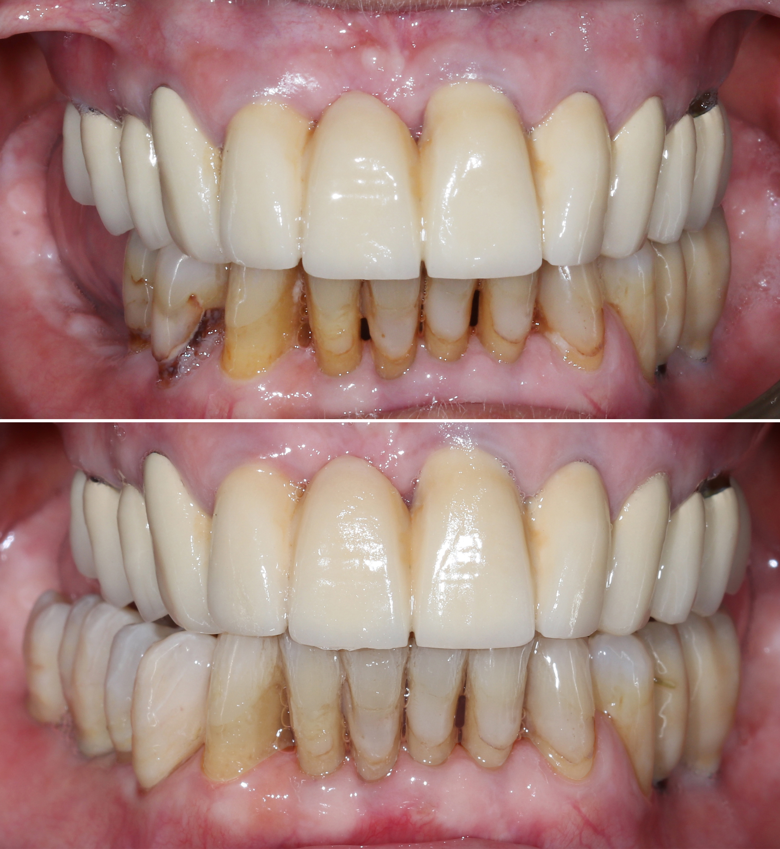
Η τελική αποκατάσταση προσέφερε φυσική αισθητική, σταθερότητα και αποκατάσταση πλήρους μασητικής λειτουργίας, βελτιώνοντας ουσιαστικά την ποιότητα ζωής της ασθενούς.


*Το περιεχόμενο της παρούσας δημοσίευσης έχει ενημερωτικό και εκπαιδευτικό χαρακτήρα. Οι εικόνες των περιστατικών δημοσιεύονται με ρητή συναίνεση των ασθενών. Κάθε θεραπεία είναι εξατομικευμένη και τα αποτελέσματα μπορεί να διαφέρουν από ασθενή σε ασθενή.

Gallery

1 / 17
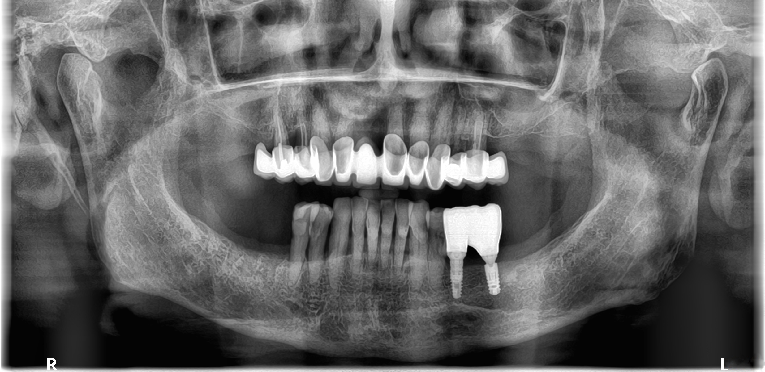
Αρχική κατάσταση - Πανοραμική ακτινογραφία -  Έλλειψη των κάτω δεξιά γομφίων

Αρχική κατάσταση - Πανοραμική ακτινογραφία - Έλλειψη των κάτω δεξιά γομφίων

Αρχική κατάσταση - Πανοραμική ακτινογραφία -  Έλλειψη των κάτω δεξιά γομφίων
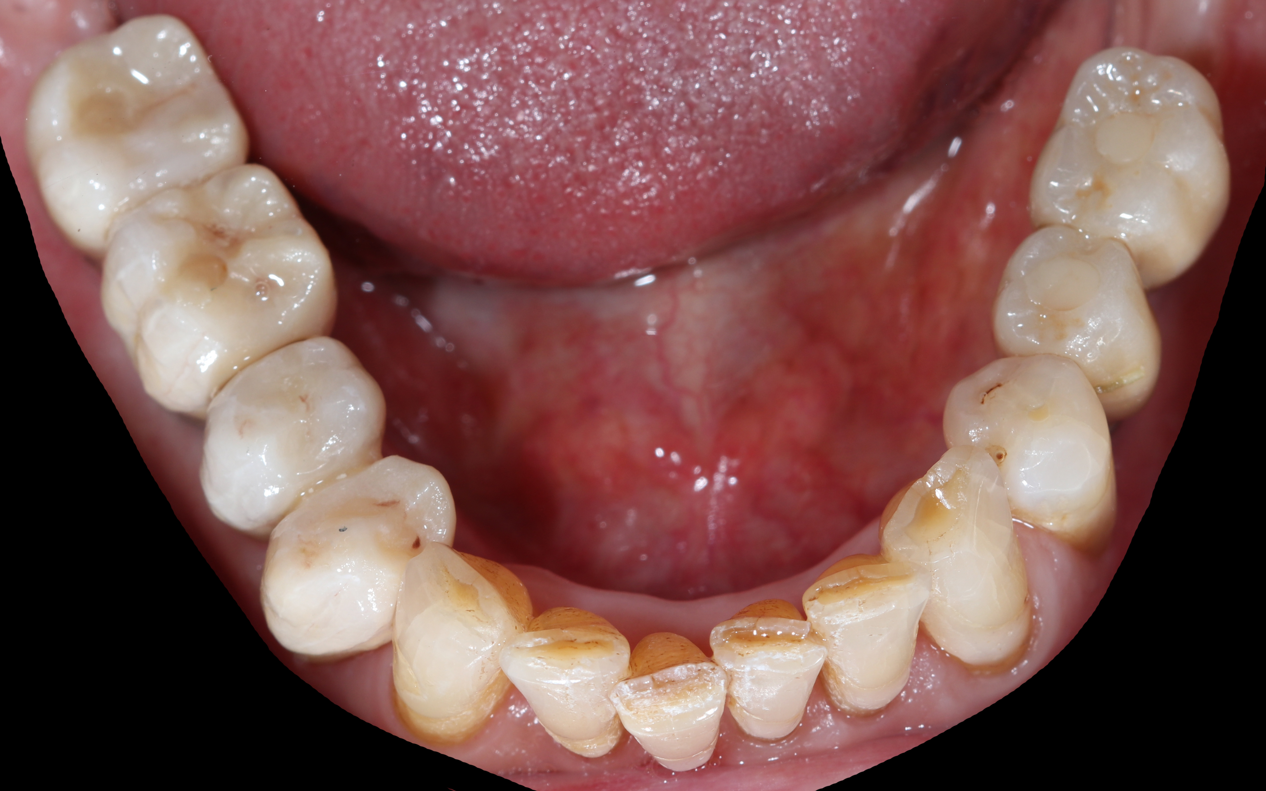
Αρχική κατάσταση - Χαμόγελο και πρόσθια άποψη
Αρχική κατάσταση - Πλάγια άποψη
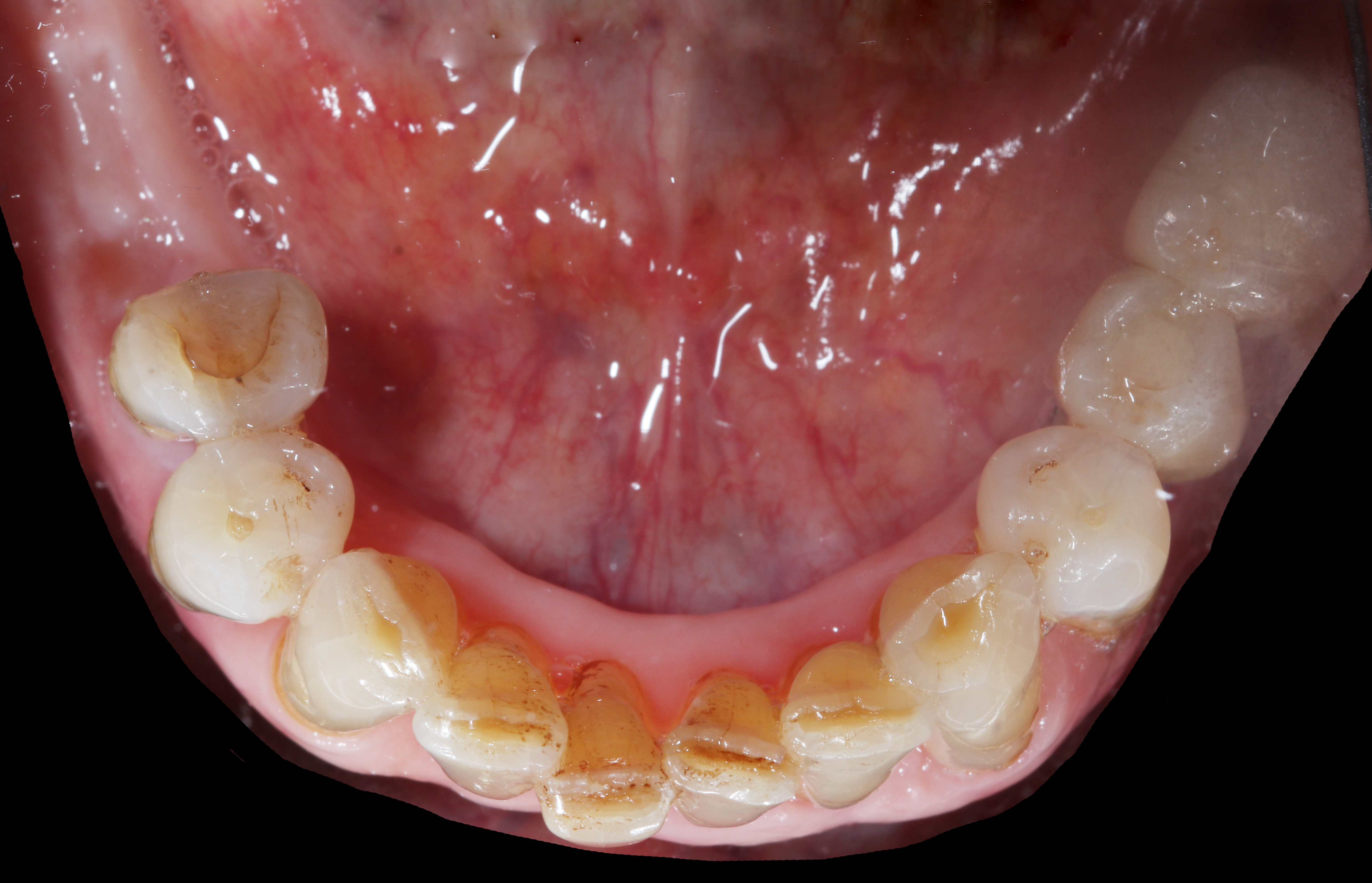
Αρχική κατάσταση - Μασητική άποψη
3D αξονική τομογραφία – Πανοραμική και εγκάρσια τομή της κάτω γνάθου της ασθενούς - Η τοποθέτηση των δύο εμφυτευμάτων έγινε στις ιδανικότερες θέσεις, με τη βοήθεια εξειδικευμένου λογισ�μικού χειρουργικού σχεδιασμού που χρησιμοποιούμε για την ακρίβεια και την ασφάλεια κάθε εμφυτευματικού περιστατικού
3D αξονική τομογραφία – Εγκάρσιες τομές της κάτω γνάθου της ασθενούς.
Απεικονίζονται τα δύο εμφυτεύματα που τοποθετήθηκαν με τη βοήθεια εξειδικευμένου προεγχειρητικού λογισμικού. Μέσω της ανάλυσης μπορούμε να αξιολογήσουμε τη θέση τους στο οστό, τον προσανατολισμό και τις μεταξύ τους κλίσεις, καθώς και την πιθανή γειτνίασή τους με σημαντικά ανατομικά μόρια
3D αξονική τομογραφία – Αριστερά: τρισδιάστατο μοντέλο του οστού της κάτω γνάθου με ψηφιακά τοποθετημένα τα δύο εμφυτεύματα.
Δεξιά: το ζωτικής σημασίας κάτω φατνιακό νεύρο και τα ψηφιακά ομοιώματα των εμφυτευμάτων. Η απόσταση από το νεύρο είναι επαρκής, επιτρέποντας την ασφαλή τοποθέτησή τους
Πάνω: Το ψηφιακό αρχείο του χειρουργικού νάρθηκα - Κάτω: Ο χειρουργικός νάρθηκας εκτυπωμένος από 3D εκτυπωτή

ΕΜΦΥΤΕΥΜΑΤΑ

Εμφυτεύματα

klironko@otenet.gr

+30 27210 93600

Αριστομένους 79-81, Καλαμάτα, 2oς όροφος

Copyright © 2026

Designed & Developed by yorgo.dev