
Πλήρης αποκατάσταση στόματος με ψηφιακά καθοδηγούμενη τοποθέτηση 11 εμφυτευμάτων
Κλινική εικόνα και συμπτώματα
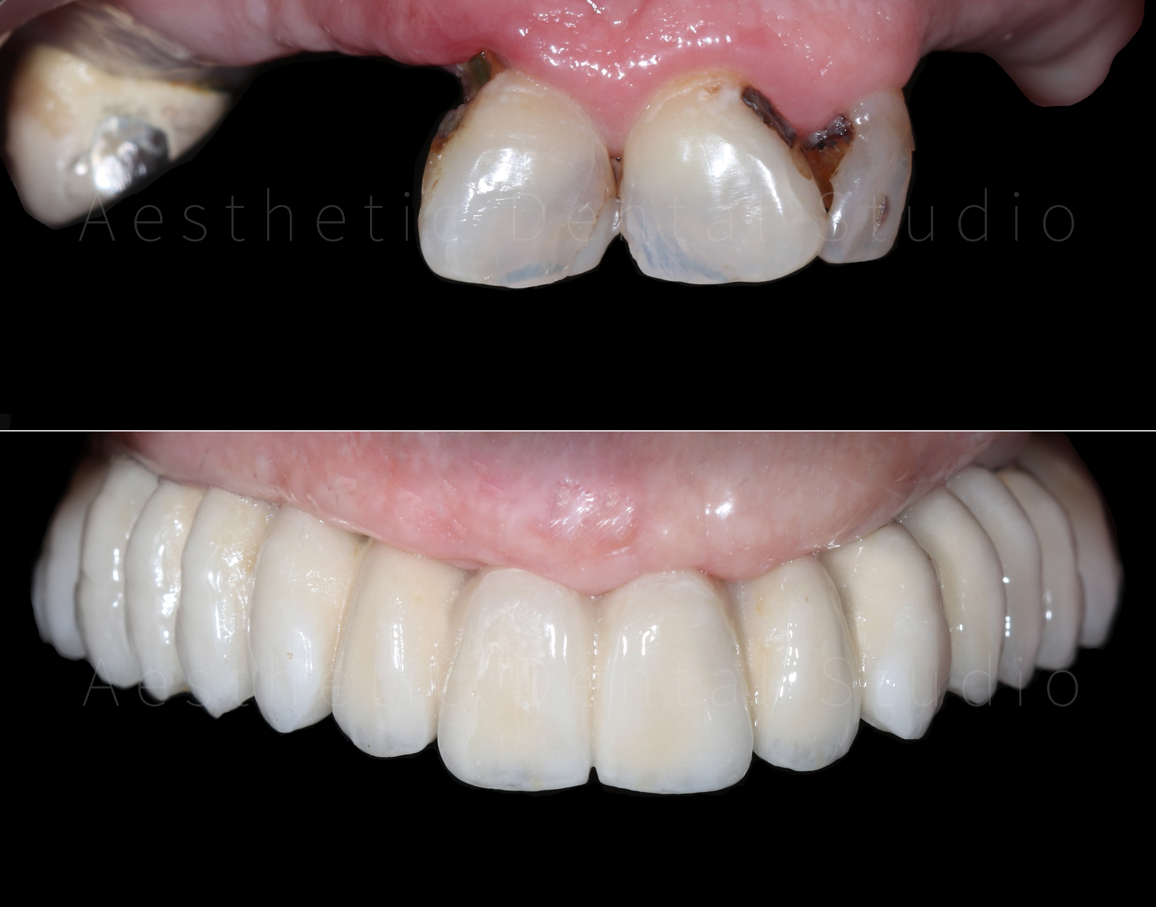
Ασθενής με εκτεταμένη φθορά και απώλεια δοντιών στην άνω και κάτω γνάθο προσήλθε στο Aesthetic Dental Studio στην Καλαμάτα με έντονη δυσκολία στη μάσηση, αισθητικά προβλήματα και επαναλαμβανόμενους πόνους. Η στοματική κατάσταση χαρακτηριζόταν από πολλαπλές τερηδόνες, κατεστραμμένα και ελλείποντα δόντια, γεγονός που επηρέαζε τόσο τη λειτουργία όσο και την αυτοπεποίθηση της ασθενούς.
Θεραπευτικός στόχος και πρώτη φάση θεραπείας
Οι βασικοί στόχοι της θεραπείας, όπως σχεδιάστηκαν από την ομάδα Προσθετολόγων και Εμφυτευματολόγων της κλινικής μας, ήταν:
• Η αισθητική και λειτουργική αποκατάσταση του στόματος
• Η αποκατάσταση της μασητικής ικανότητας
• Η σταθερότητα και μακροχρόνια πρόγνωση του αποτελέσματος
Στην πρώτη φάση, πραγματοποιήθηκε πλήρης αποκατάσταση της στοματικής υγείας, με αφαίρεση των εναπομείναντων δοντιών της άνω γνάθου, αφού αυτά κρίθηκαν μη αποκαταστάσιμα. Παράλληλα διατηρήθηκαν τα κάτω πρόσθια δόντια και αποφασίστηκε η μετέπειτα προσθετική αποκατάστασή τους. Στην συνέχεια, ακολουθήθηκε χειρουργική τοποθέτηση εμφυτευμάτων σε στρατηγικές θέσεις με πλήρως ψηφιακό πρωτόκολλο:
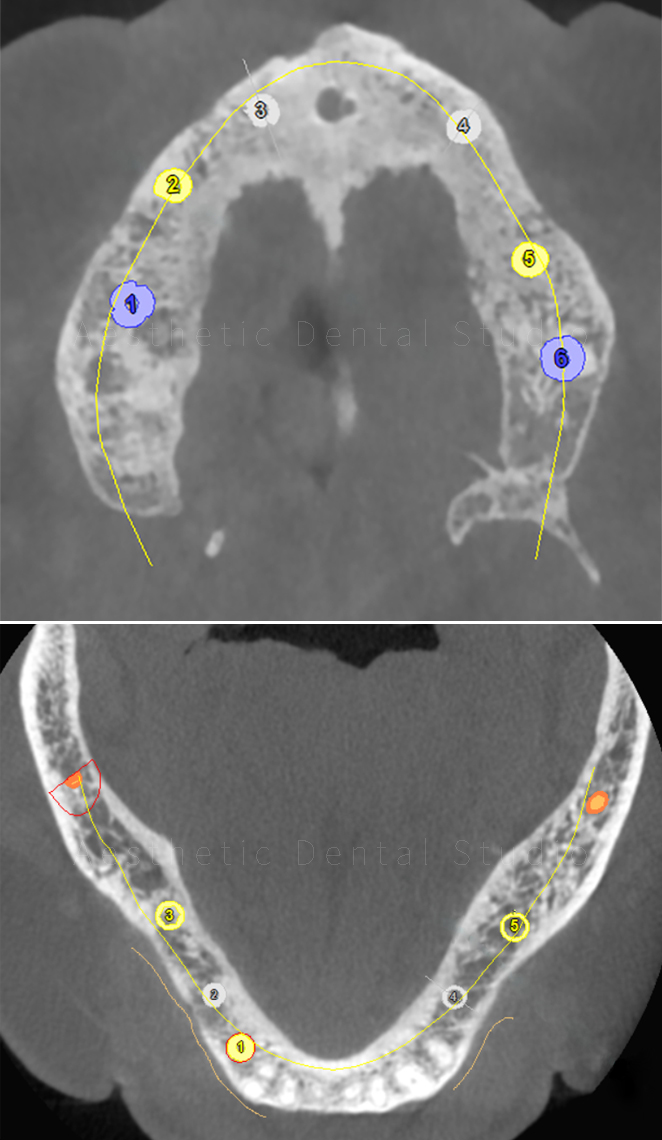
Με εξειδικευμένο οδοντιατρικό λογισμικό έγινε ψηφιακός σχεδιασμός και εικονική τοποθέτηση των εμφυτευμάτων, ώστε να εξασφαλιστεί απόλυτη ακρίβεια και ασφάλεια.
Ο σχεδιασμός στάλθηκε σε εξειδικευμένο κέντρο στη Γερμανία, όπου δημιουργήθηκε τρισδιάστατος χειρουργικός οδηγός, προσαρμοσμένος στο στόμα της ασθενούς.
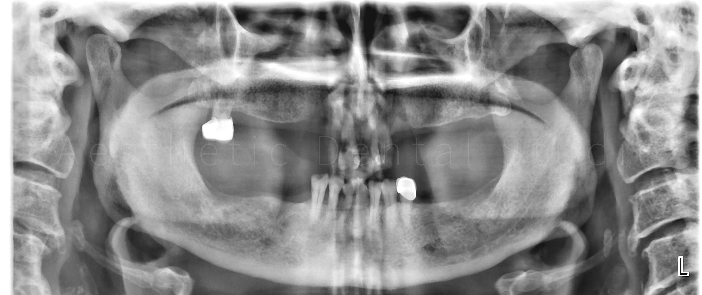
Αυτός ο οδηγός χρησιμοποιήθηκε στο χειρουργείο για την τοποθέτηση συνολικά 11 εμφυτευμάτων με ακρίβεια χιλιοστού:
• 6 στην άνω γνάθο
• 3 στην κάτω δεξιά περιοχή
• 2 στην κάτω αριστερή περιοχή
Με αυτό τον τρόπο δημιουργήθηκε ένα σταθερό υπόστρωμα για την προσθετική αποκατάσταση ολόκληρου του στόματος.
Προσθετικός σχεδιασμός και συγκλεισιακή ανάλυση
Αφού ολοκληρώθηκε η φάση της επούλωσης και επιβεβαιώθηκε η πλήρης ενσωμάτωση των εμφυτευμάτων, προχωρήσαμε στον προσθετικό σχεδιασμό. Με χρήση ψηφιακού διαγνωστικού κερώματος και ενδοστοματικής σάρωσης, σχεδιάστηκαν οι μελλοντικές αποκαταστάσεις. Τα εκτυπωμένα τρισδιάστατα μοντέλα τοποθετήθηκαν σε αρθρωτήρα για την ανάλυση της:
• αισθητικής του χαμόγελου
• φώνησης
• σύγκλεισης
• μασητικής λειτουργίας
Τέλος δοκιμή με προσωρινές ακρυλικές αποκαταστάσεις, ώστε να ελεγχθεί στην πράξη η λειτουργικότητα και η αισθητική ισορροπία.
Τελική προσθετική αποκατάσταση
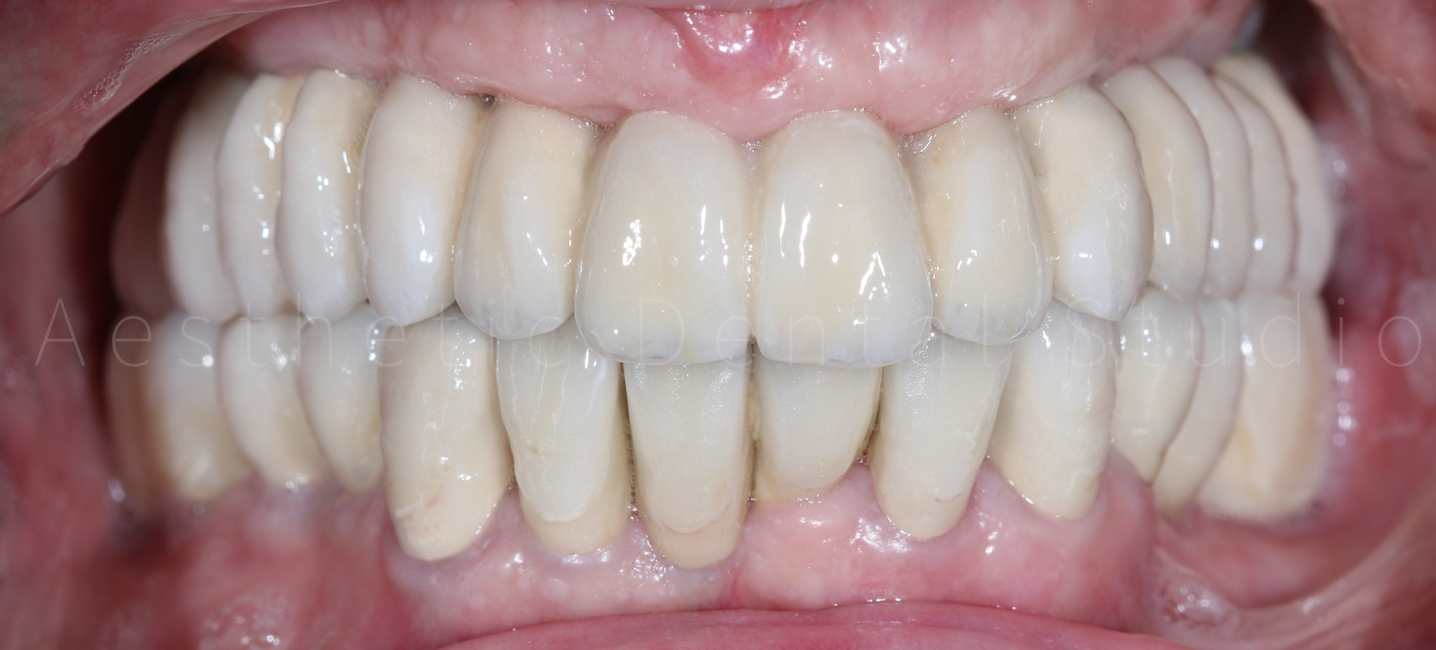
Αφού ολοκληρώθηκε η δοκιμαστική φάση και επιβεβαιώθηκε η άψογη λειτουργικότητα και αισθητική του σχεδίου, προχωρήσαμε στη λήψη ψηφιακών αποτυπωμάτων με ενδοστοματικό σαρωτή. Με βάση τα δεδομένα αυτά, σχεδιάστηκαν και τοποθετήθηκαν ακίνητες κεραμικές αποκαταστάσεις (στεφάνες και γέφυρες) πάνω σε δόντια και εμφυτεύματα, εξασφαλίζοντας απόλυτη ακρίβεια εφαρμογής και φυσικό αισθητικό αποτέλεσμα.
Το τελικό χαμόγελο της ασθενούς στο συνδύαζε αισθητική αρτιότητα, λειτουργική σταθερότητα και άνεση στη μάσηση και την ομιλία, προσφέροντας μια πλήρως ανανεωμένη στοματική εικόνα και αυτοπεποίθηση στην καθημερινότητά της.
*Το περιεχόμενο της παρούσας δημοσίευσης έχει ενημερωτικό και εκπαιδευτικό χαρακτήρα. Οι φωτογραφίες του περιστατικού δημοσιεύονται με ρητή συναίνεση της ασθενούς. Κάθε θεραπεία είναι εξατομικευμένη και τα αποτελέσματα μπορεί να διαφέρουν από ασθενή σε ασθενή.

















