
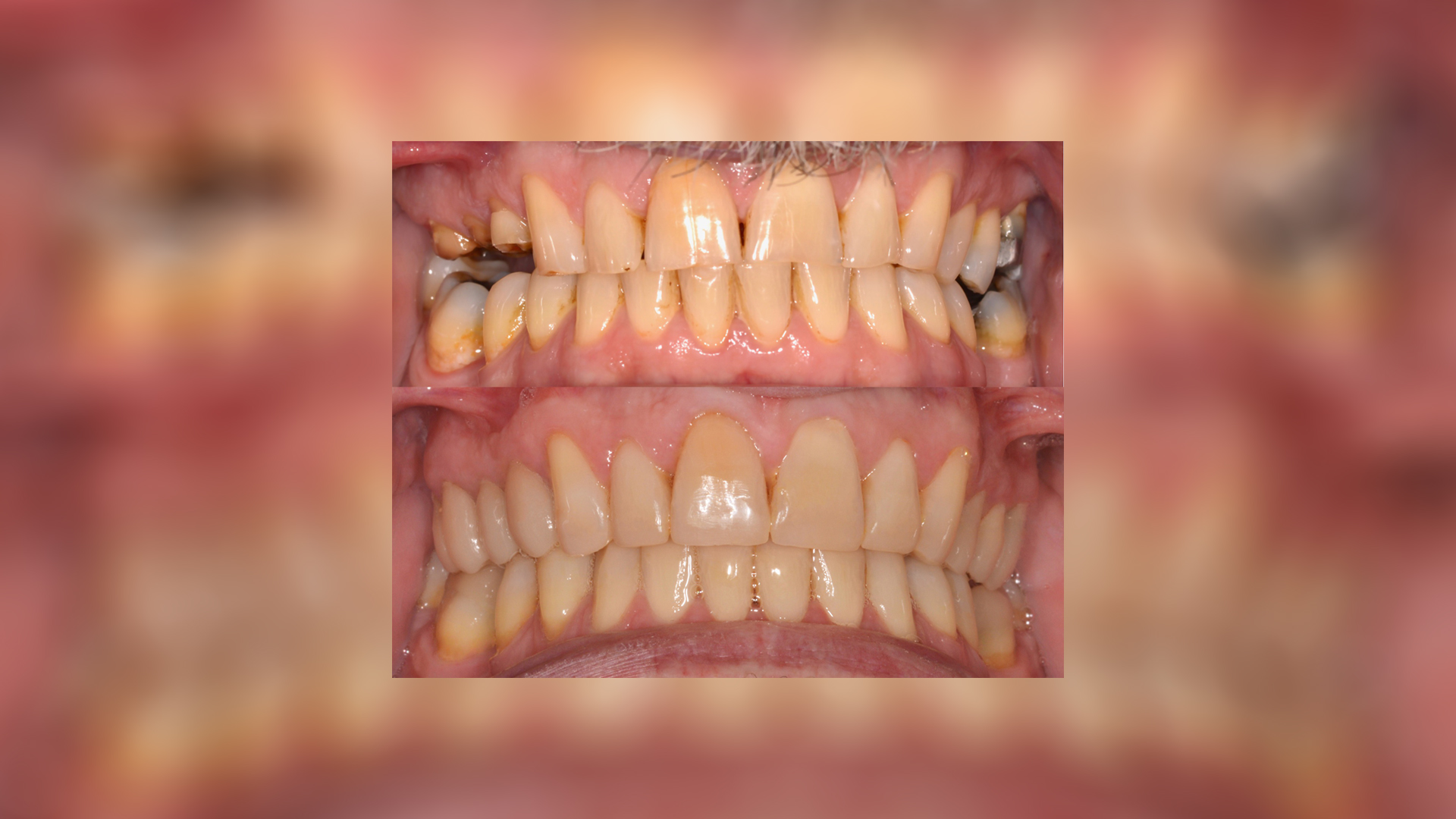
Ολική αποκατάσταση φθαρμένης οδοντοφυΐας με συγκολλούμενες αποκαταστάσεις (συνδυασμός όψεων ρητινών και ολοκεραμικών υπερενθέτων)
Ασθενής με εκτεταμένως φθαρμένη οδοντοφυΐα και πρόβλημα στην μάσηση προσήλθε στην κλινική μας για την συνολική αντιμετώπιση του προβλήματός του. Σκοπός της θεραπείας ήταν η αποκατάσταση της αισθητικής του χαμόγελου και της βελτίωσης της μασητικής ικανότητας του ασθενούς.
Στα άνω και κάτω πρόσθια δόντια πραγματοποιήθηκαν άμεσες όψεις σύνθετης ρητίνης, ενώ τα οπίσθια δόντια αποκαταστάθηκαν με έναν συνδυασμό συγκολλο ύμενων ολοκεραμικών επενθέτων («μασητικές όψεις») διπυριτικού λιθίου και άμεσων επενθέτων ρητίνης (κάτω προγόμφιοι).
Με αυτόν τον συντηρητικό τρόπο αντιμετώπισης αποφεύχθηκε ο εκτενής τροχισμός των οπίσθιων δοντιών και η περαιτέρω απώλεια οδοντικού ιστού.
*Το περιεχόμενο της παρούσας δημοσίευσης έχει ενημερωτικό και εκπαιδευτικό χαρακτήρα. Οι εικόνες των περιστατικών δημοσιεύονται με ρητή συναίνεση των ασθενών. Κάθε θεραπεία είναι εξατομικευμένη και τα αποτελέσματα μπορεί να διαφέρουν από ασθενή σε ασθενή.

















