
Ολική αποκατάσταση φθαρμένης και αποδιοργανωμένης οδοντοφυΐας με κεραμικές αποκαταστάσεις
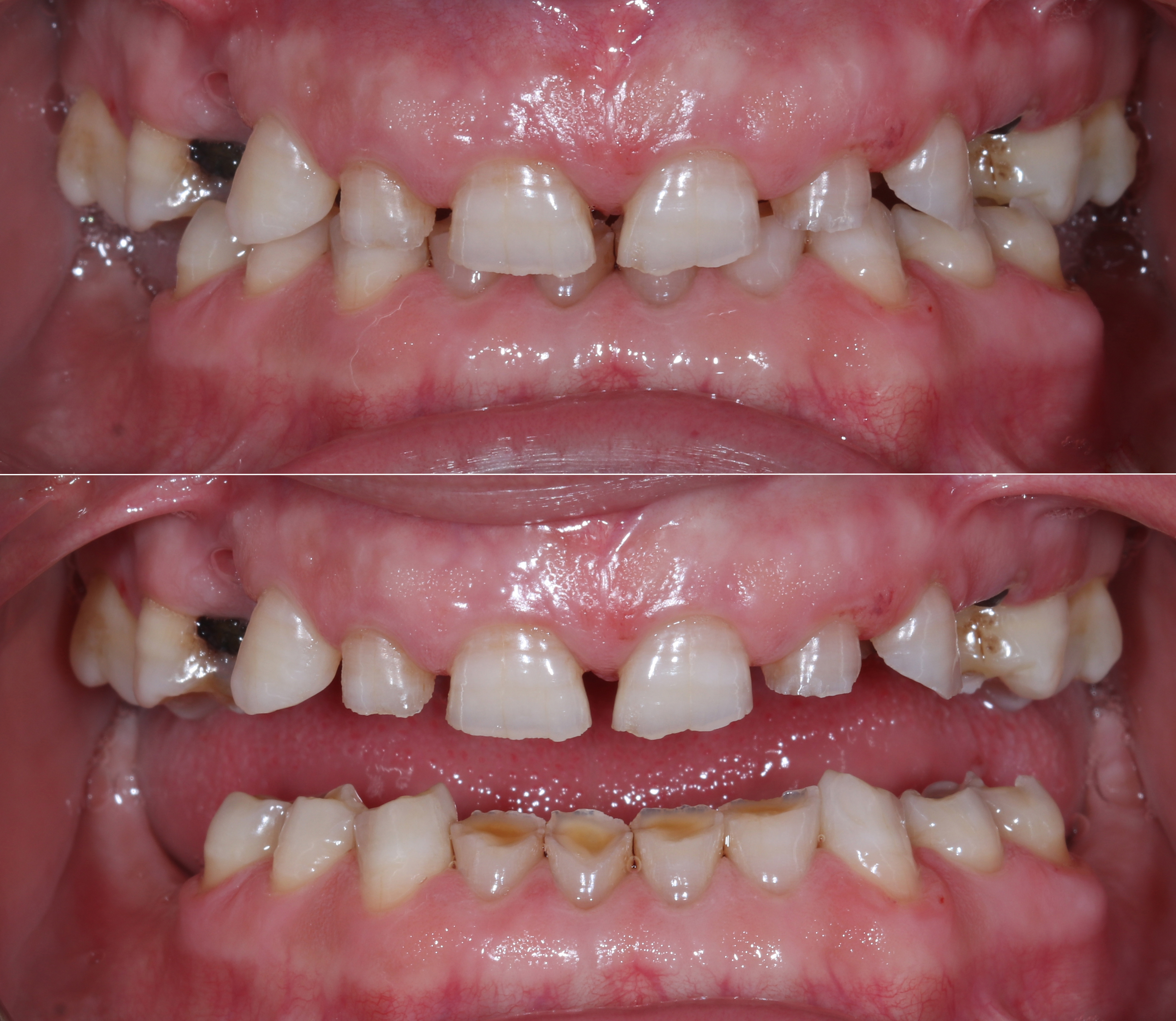
Κλινική εικόνα και συμπτώματα
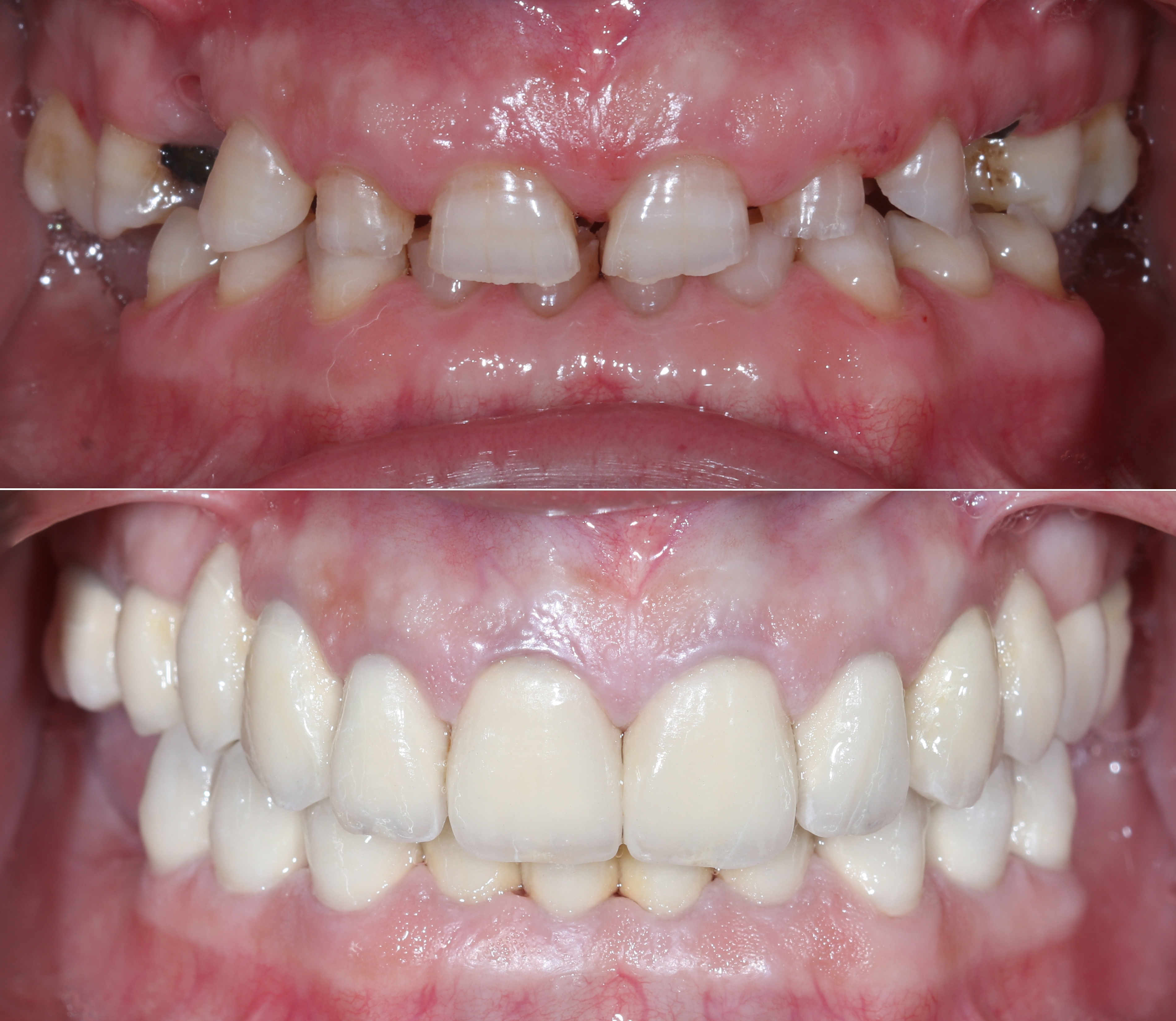
Ασθενής με αποδιοργανωμένη, εκτενώς φθαρμένη οδοντοφυΐα, τερηδόνες και κατεστραμμένα δόντια στην άνω γνάθο που προκαλούσαν έντονους πόνους, προσήλθε στο Aesthetic Dental Studio στην Καλαμάτα με στόχο την αισθητική και λειτουργική αποκατάσταση του στόματός της.
Θεραπευτικός στόχος και πρώτη φάση θεραπείας
Βασικοί στόχοι της θεραπείας ήτ αν:
Η αισθητική βελτίωση του χαμόγελου
Η αποκατάσταση της μασητικής λειτουργίας
Η ανακούφιση της ασθενούς από τον πόνο που της προκαλούσαν τα τερηδονισμένα και κατεστραμμένα δόντια
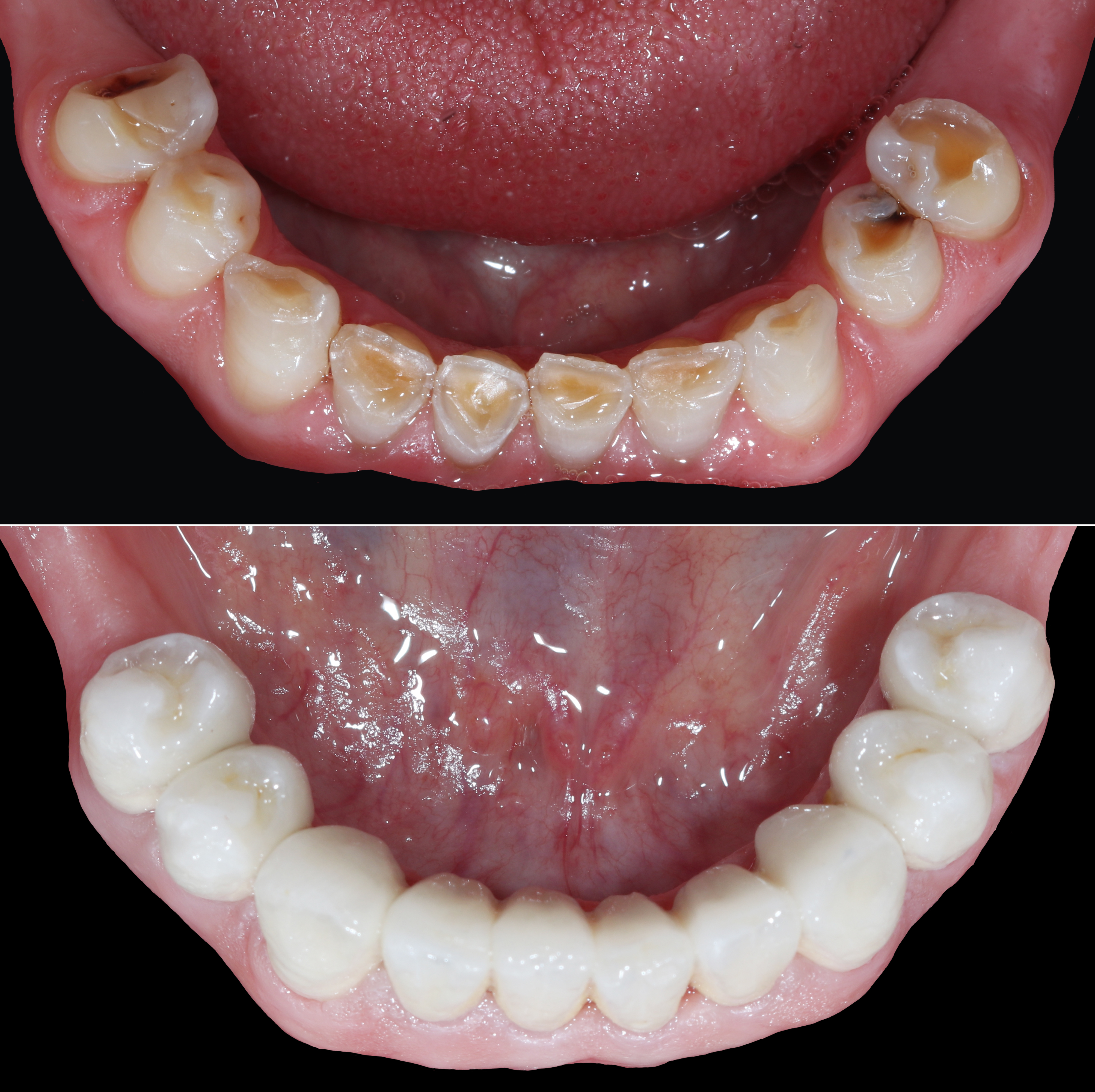
Σε πρώτη φάση, αφαιρέθηκαν τα δόντια που ήταν πλήρως κατεστραμμένα, πραγματοποιήθηκαν ενδοδοντικές θεραπείες στα δόντια που μπορούσαν να αποκατασταθούν και έγιναν εμφράξεις σε δόντια με απλή τερηδόνα. Έτσι, το στόμα σταθεροποιήθηκε και ήταν πλέον έτοιμο για την δεύτερη φάση της θεραπείας, που περιελάμβανε την προσθετική αποκατάσταση των δοντιών.
Προσθετικός σχεδιασμός και συγκλεισιακή ανάλυση
Αφού εξαλείφθηκε πλήρως η συμπτωματολογία, προχωρήσαμε στο προσθετικό στάδιο:
Πραγματοποιήσαμε ψηφιακό διαγνωστικό «κέρωμα», και τα τρισδιάστατα εκτυπωμένα εκμαγεία της ασθενούς τοποθετήθηκαν σε γναθολογικό μηχάνημα (ημιπροσαρμοζόμενος αρθρωτήρας) ούτως ώστε να αξιολογήσουμε:
Την αισθητική
Την φώνηση
Την μασητική λειτουργία
Την σύγκλειση
Στην συνέχεια, κατασκευάστηκαν προσωρινές ακρυλικές αποκαταστάσεις καθ' εικόνα και ομοίωση του διαγνωστικού κερώματος ώστε τα παραπάνω να εξετασθούν και στην πράξη στο στόμα της ασθενούς.
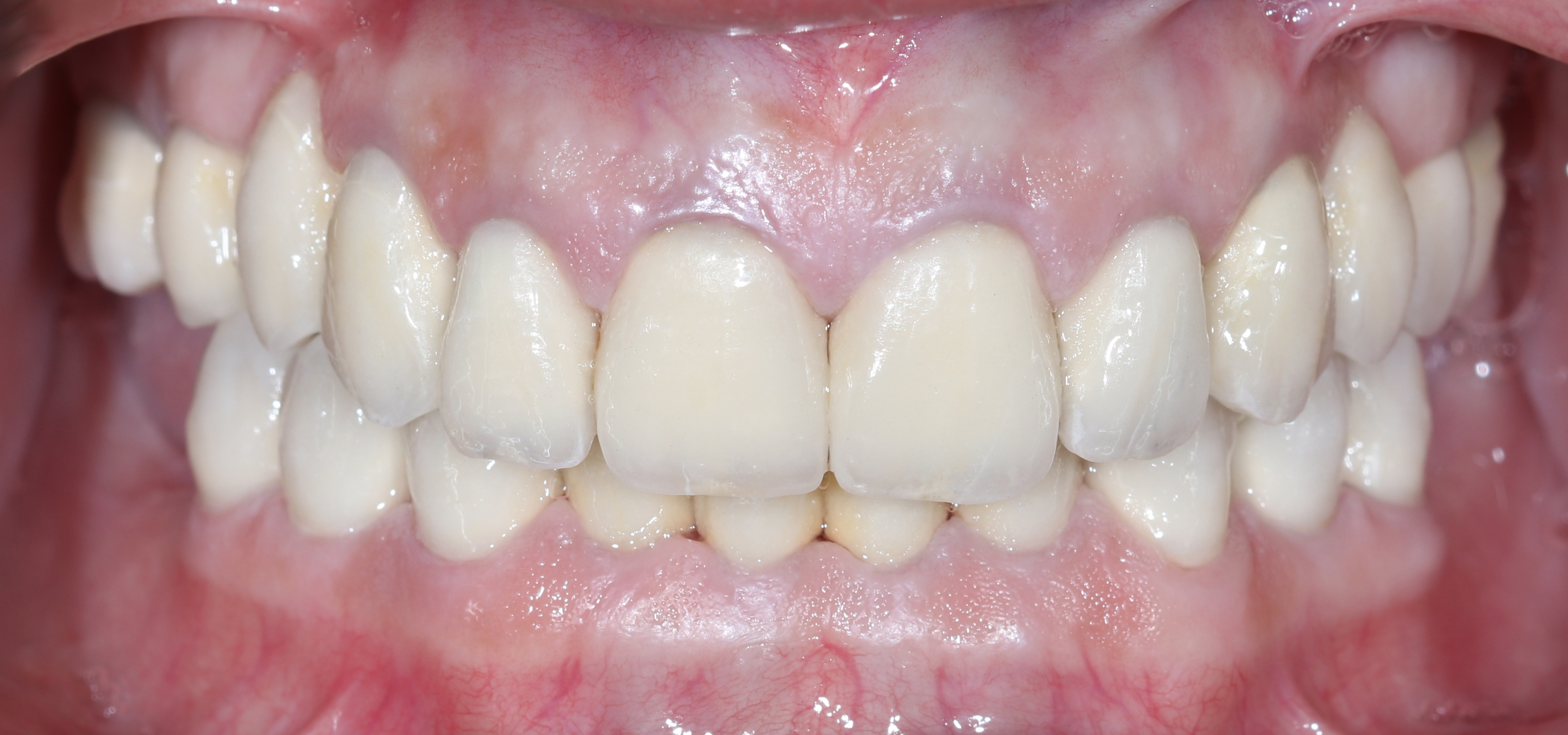
Τελική προσθετική αποκατάσταση
Αφού όλα επιβεβαιώθηκαν, έγινε λήψη ψηφιακών αποτυπωμάτων με ενδοστοματικό σαρωτή και στην συνέχεια τοποθετήθηκαν ακίνητες κεραμικές αποκαταστάσεις ολικής επικάλυψης (στεφάνες και γέφυρες).
Το τελικό αποτέλεσμα ήταν αισθητικά άρτιο και λειτουργικά σταθερό, προσαρμοσμένο στις ανάγκες της ασθενούς.
*Το περιεχόμενο της παρούσας δημοσίευσης έχει ενη μερωτικό και εκπαιδευτικό χαρακτήρα. Οι εικόνες των περιστατικών δημοσιεύονται με ρητή συναίνεση των ασθενών. Κάθε θεραπεία είναι εξατομικευμένη και τα αποτελέσματα μπορεί να διαφέρουν από ασθενή σε ασθενή.














