
Αισθητική και λειτουργική αποκατάσταση στόματος με κεραμικές αποκαταστάσεις και όψεις ρητίνης
Κλινική εικόνα
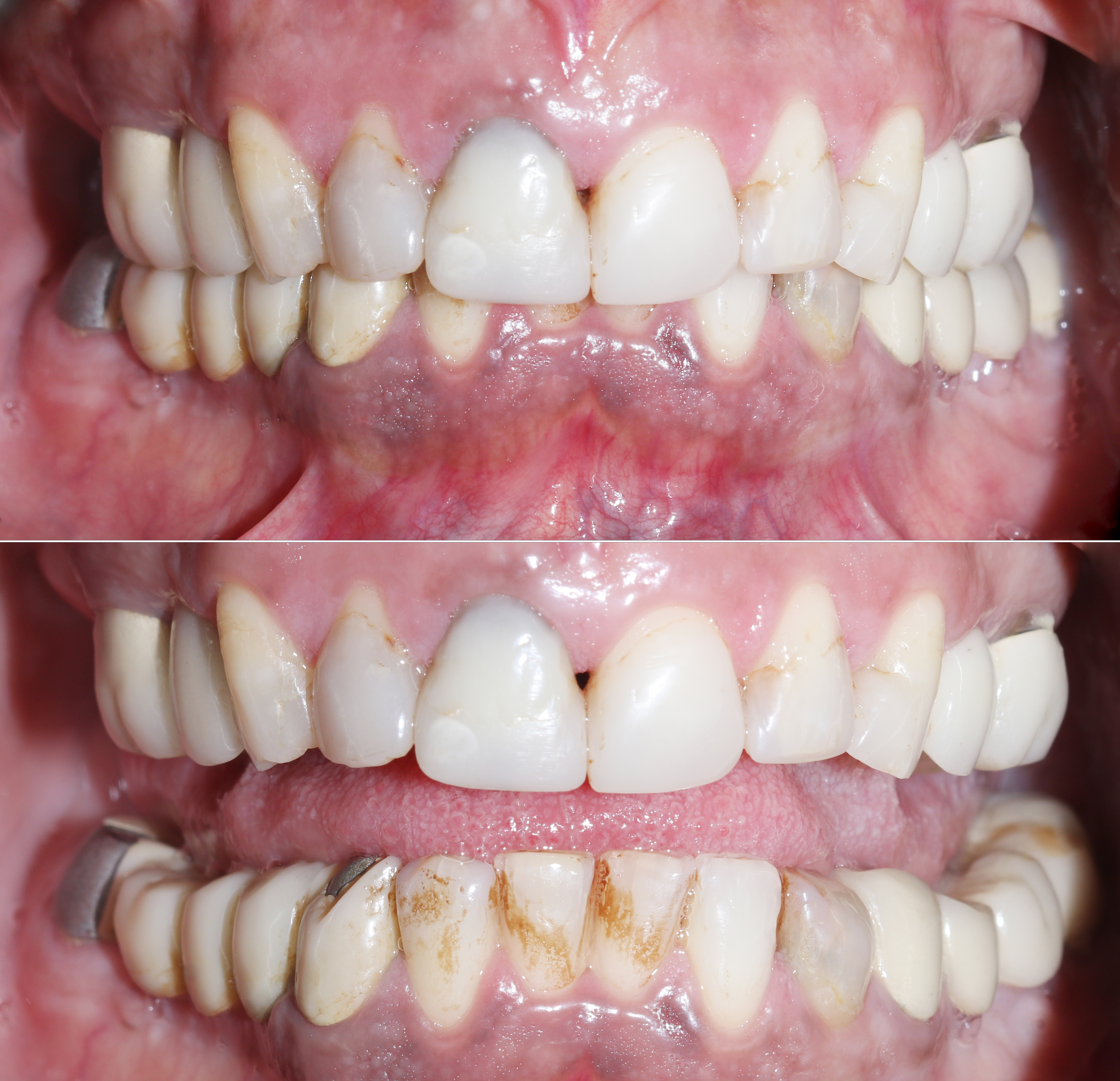
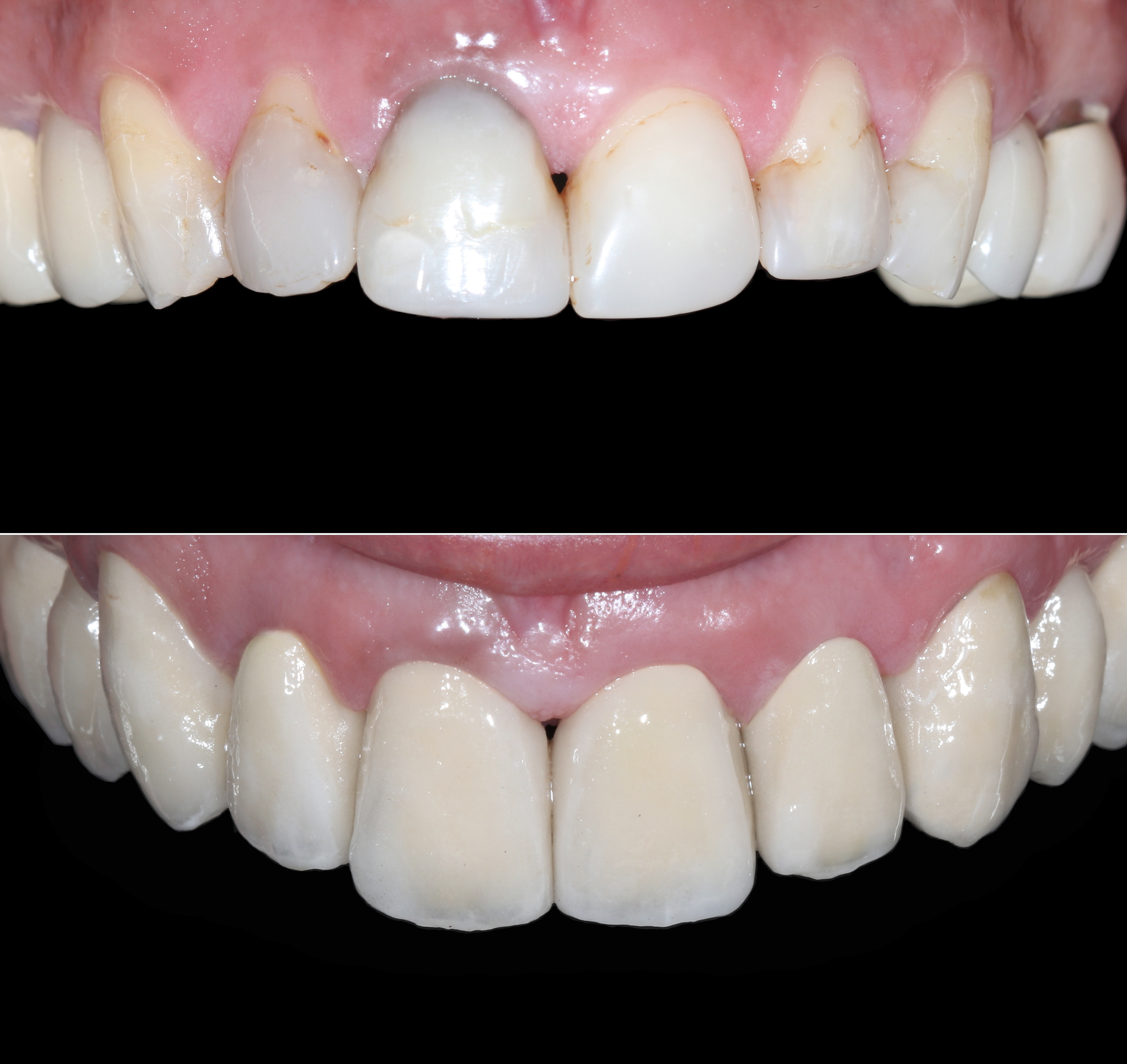
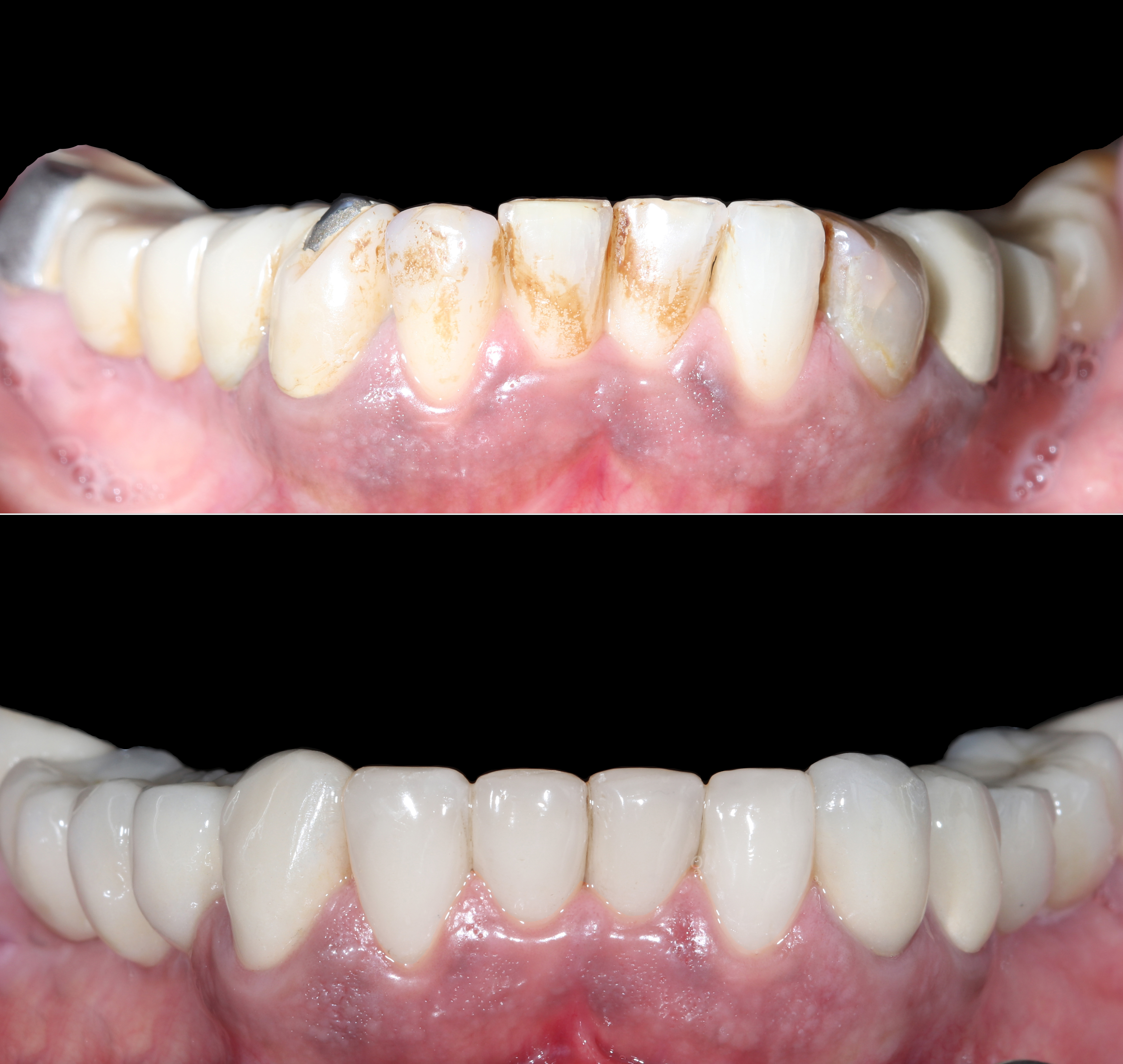
Ασθενής προσήλθε στο Aesthetic Dental Studio στην Καλαμάτα με:
• Ουλίτιδα
• Αποδιοργανωμένη οδοντοφυΐα
• Παλιές και κακότεχνες προσθετικές αποκαταστάσεις
• Τερηδονισμένα δόντια
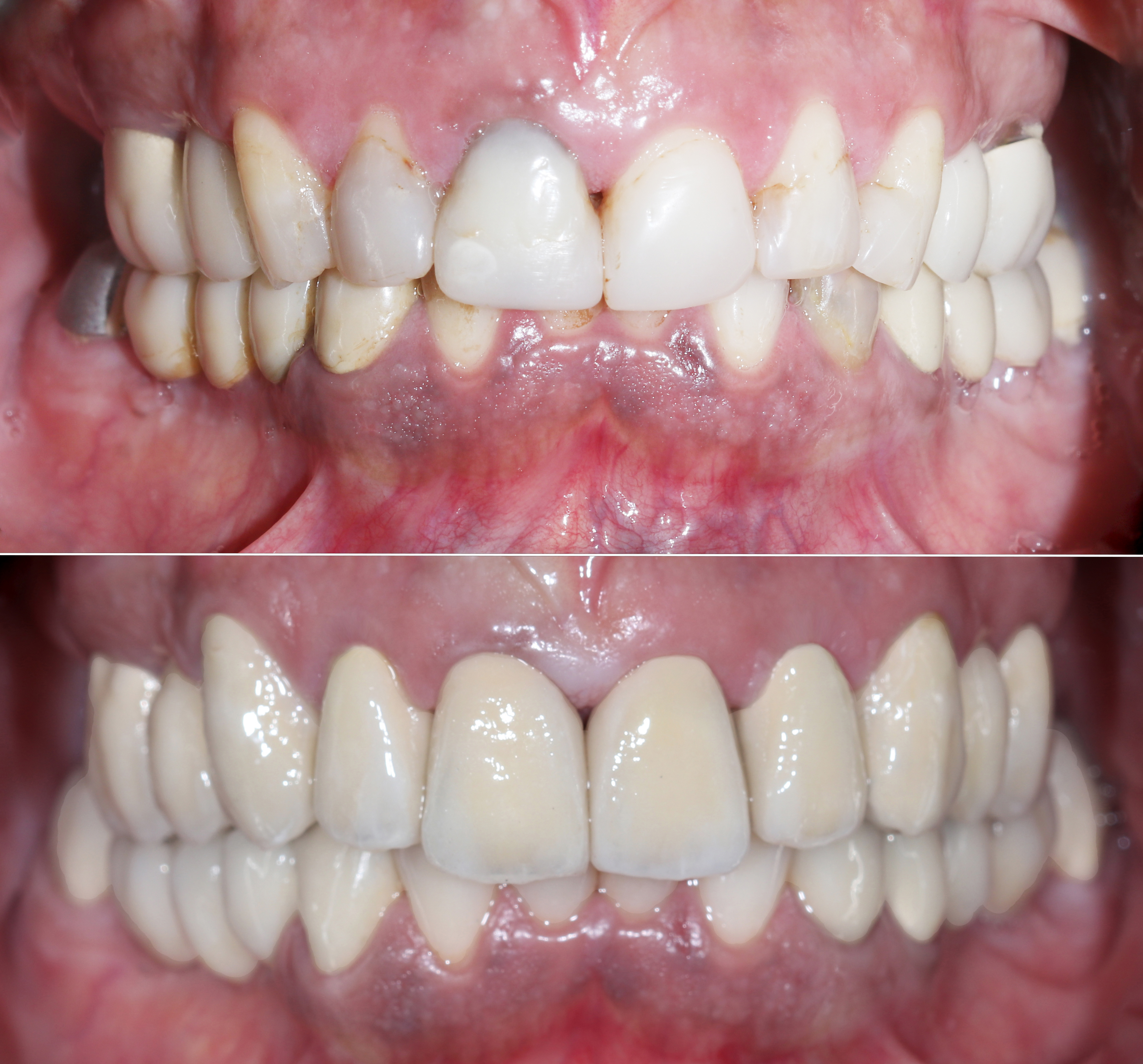
Ζητούμενο ήταν μια ολιστική θεραπεία, που να συνδυάζει αισθητική βελτίωση και λειτουργική αποκατάσταση του στόματος.
Στόχοι της θεραπείας
• Αποκατάσταση της αισθητικής του χαμόγελου
• Επαναφορά της μασητικής ικανότητας
• Δημιουργία σταθερής σύγκλεισης
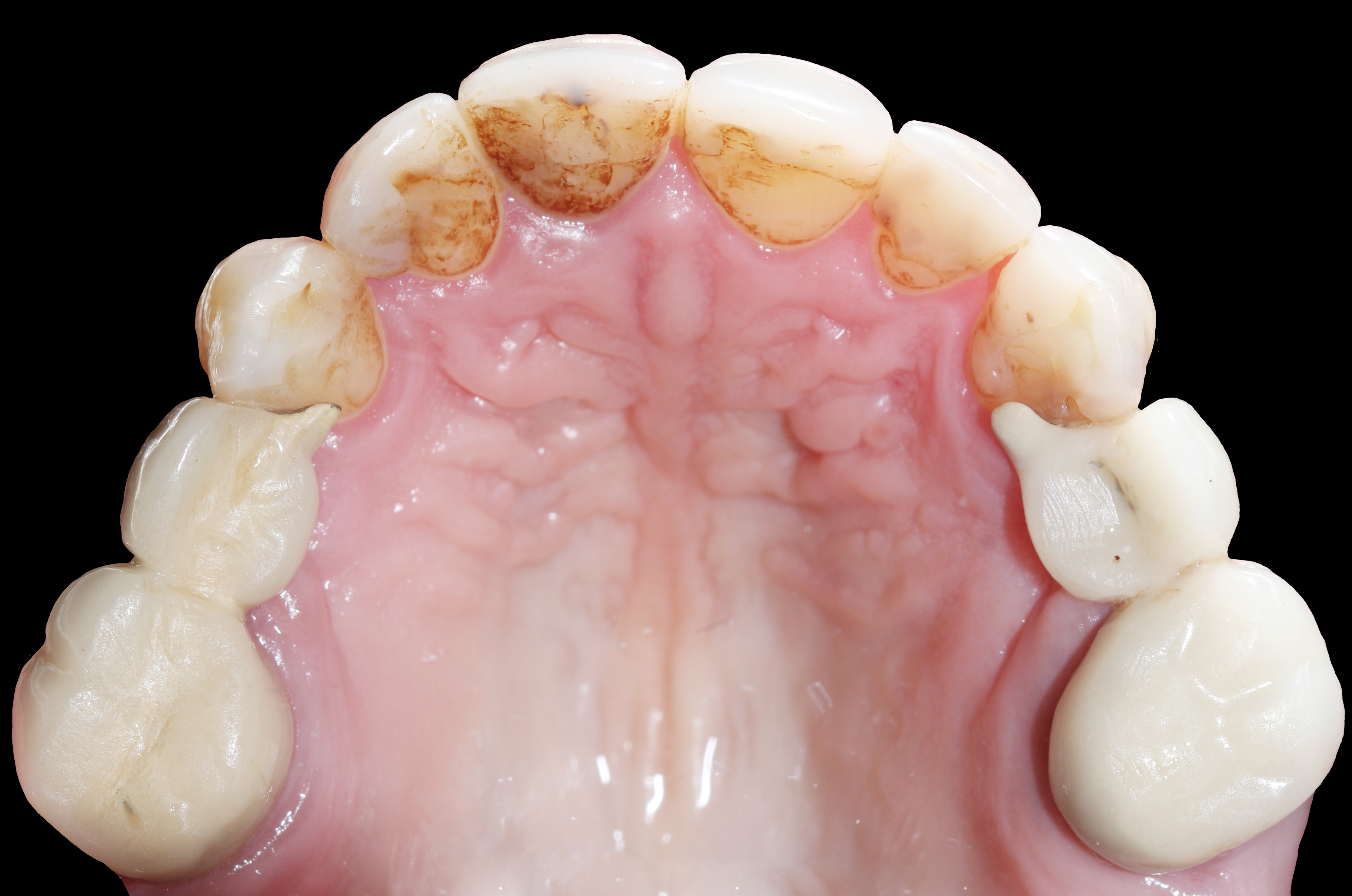
Πρώτη φάση θεραπείας: Σταθεροποίηση της στοματικής υγείας
Ξεκινήσαμε με τη θεραπεία των τερηδονισμένων δοντιών και την αντιμετώπιση της ουλίτιδας, ώστε να διαμορφωθεί ένα υγιές και σταθερό περιβάλλον πριν προχωρήσουμε στην προσθετική αποκατάσταση.
Δεύτερη φάση θεραπείας: Προσωρινές αποκαταστάσεις
Στο επόμενο στάδιο τοποθετήθηκαν προσωρινές ακρυλικές αποκαταστάσεις (δοκιμαστικά) ώστε να αξιιολογηθούν:
Η αισθητική του νέου χαμόγελου
Η μασητική ικανότητα
Η φώνηση
Η σύγκλειση των δοντιών
Η ε πιτυχής αξιολόγηση αυτών των παραμέτρων μας επέτρεψε να συνεχίσουμε στο τελικό στάδιο, εξασφαλίζοντας απρόσκοπτη λειτουργικότητα χωρίς εμφάνιση πόνων στις γνάθους.
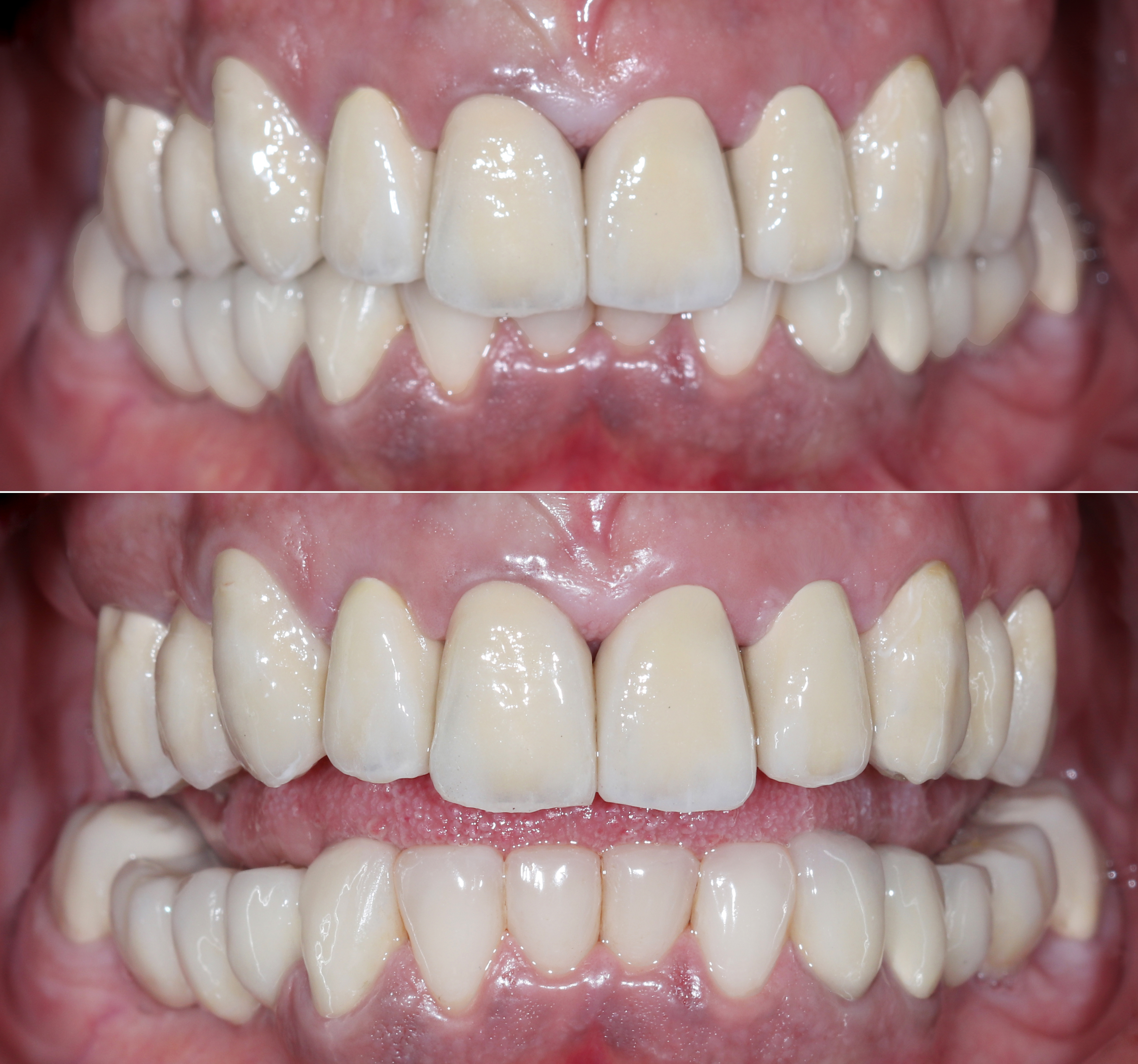
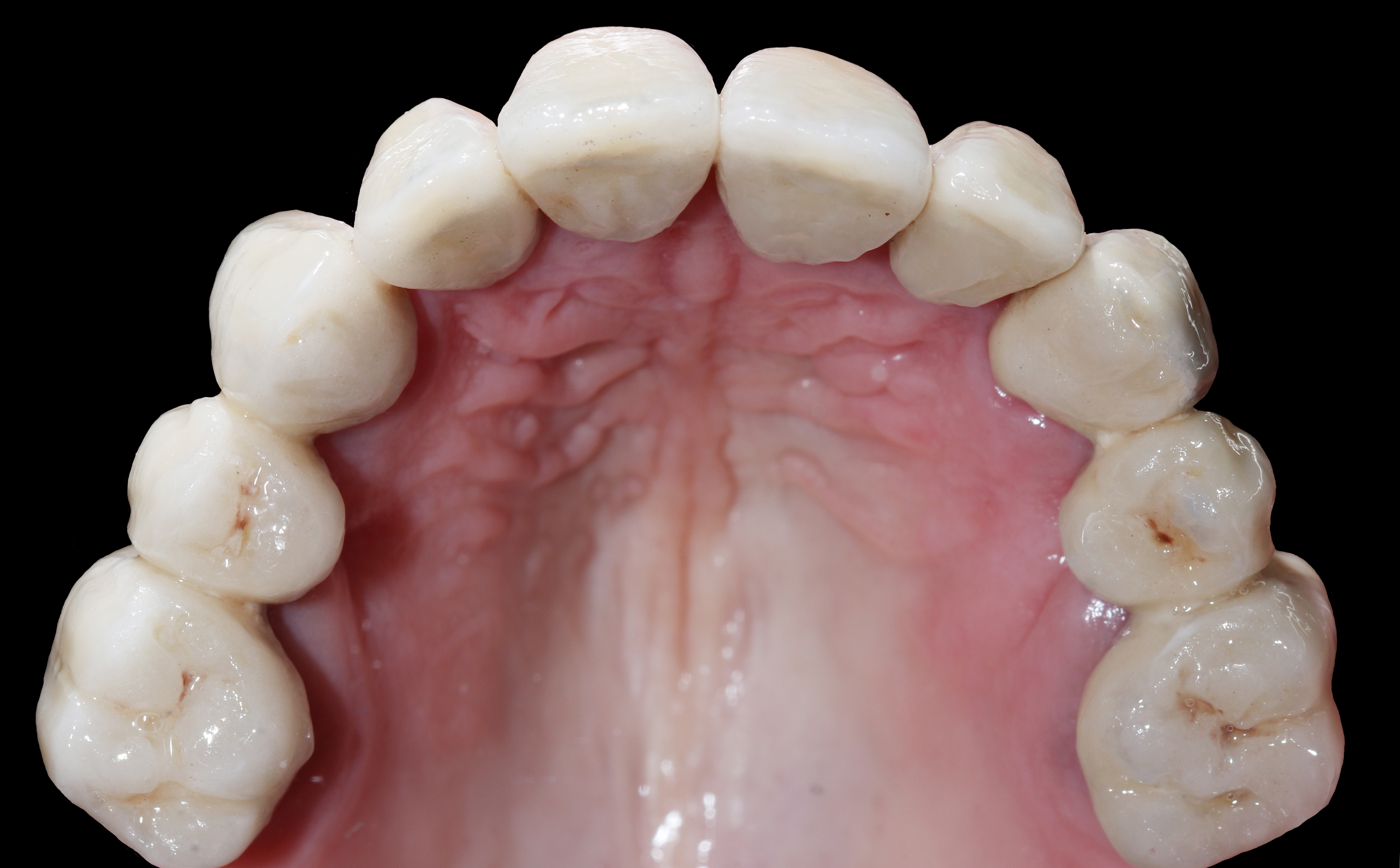
Φάση 3: Τελική προσθετική αποκατάσταση
Η τελική αποκατάσταση περιλάμβανε:
Τοποθέτηση κεραμικών στεφάνων και γεφυρών στην άνω γνάθο.
Συνδυαστική αποκατάσταση στην κάτω γνάθο με:
Κεραμικές γέφυρες στις οπίσθιες περιοχές
Τέσσερις άμεσες όψεις ρητίνης στα πρόσθια κάτω δόντια για βελτίωση της αισθητικής.
Τελική φάση: Συντήρηση και πρόληψη
Για τη μακροχρόνια προστασία των αποκαταστάσεων, κατασκευάστηκε ενδοστοματικός νάρθηκας σταθεροποίησης, ο οποίος παραδόθηκε στην ασθενή για χρήση κατά τις βραδινές ώρες.
Η συνολική θεραπευτική προσέγγιση ανέδειξε τη δύναμη του συνδυασμού αισθητικής οδοντιατρικής, προσθετικής και λειτουργικής αποκατάστασης, με έμφαση στη βελτίωση της ποιότητας ζωής και της ψυχολογίας του ασθενούς.
*Το περιεχόμενο της παρούσας δημοσίευσης έχει ενημερωτικό και εκπαιδευτικό χαρακτήρα. Οι εικόνες των περιστατικών δημοσιεύονται με ρητή συναίνεση των ασθενών. Κάθε θεραπεία είναι εξατομικευμένη και τα αποτελέσματα μπορεί να διαφέρουν από ασθενή σε ασθενή.











