
Συνολική αποκατάσταση ασθενούς με συγγενή (εκ γενετής) έλλειψη δοντιών με εμφυτεύματα και κεραμικές αποκαταστάσεις
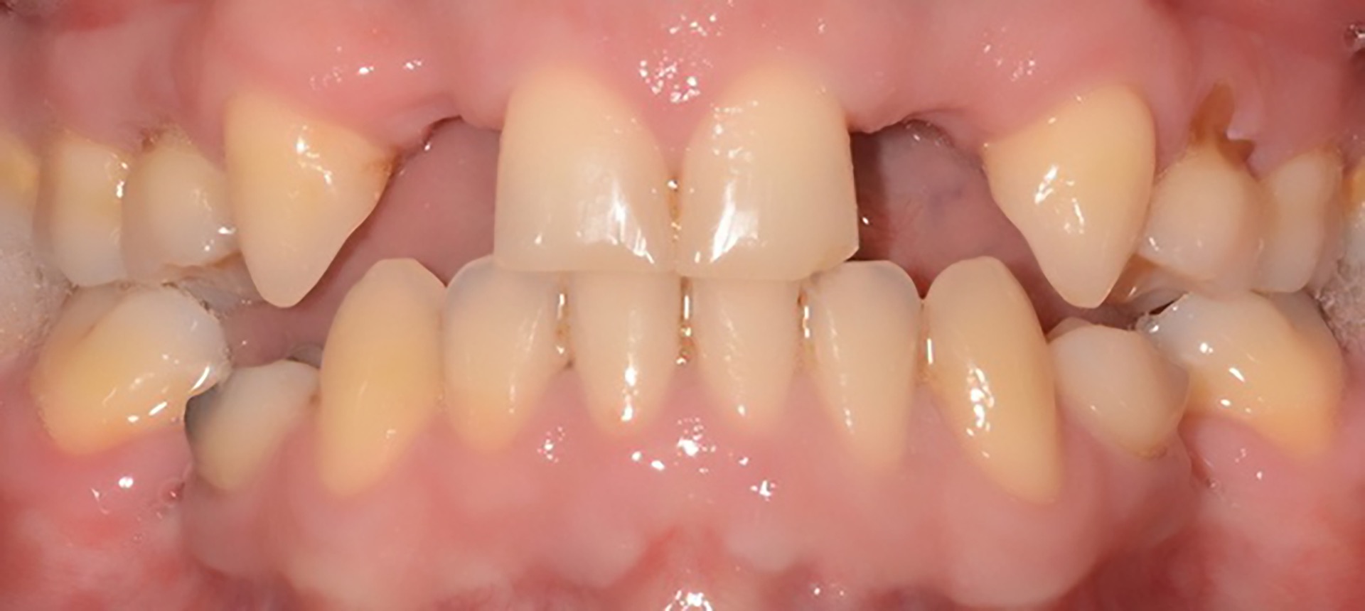
Ασθενής με συγγενή (εκ γενετής) έλλειψη έξι δοντιών στην άνω γνάθο (4 προγόμφιοι και 2 πλάγιοι τομείς) και τεσσάρων στην κάτω γνάθο (προγόμφιοι), προσήλθε στην κλινική μας για συνολική αισθητική αντιμετώπιση του προβλήματός του.
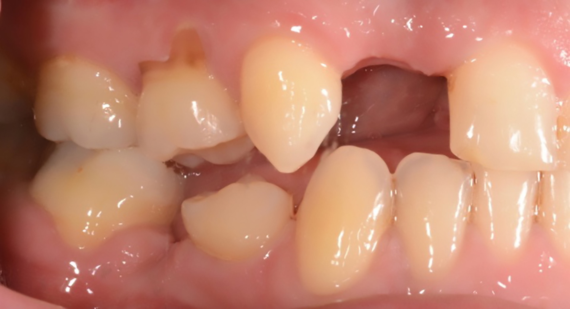
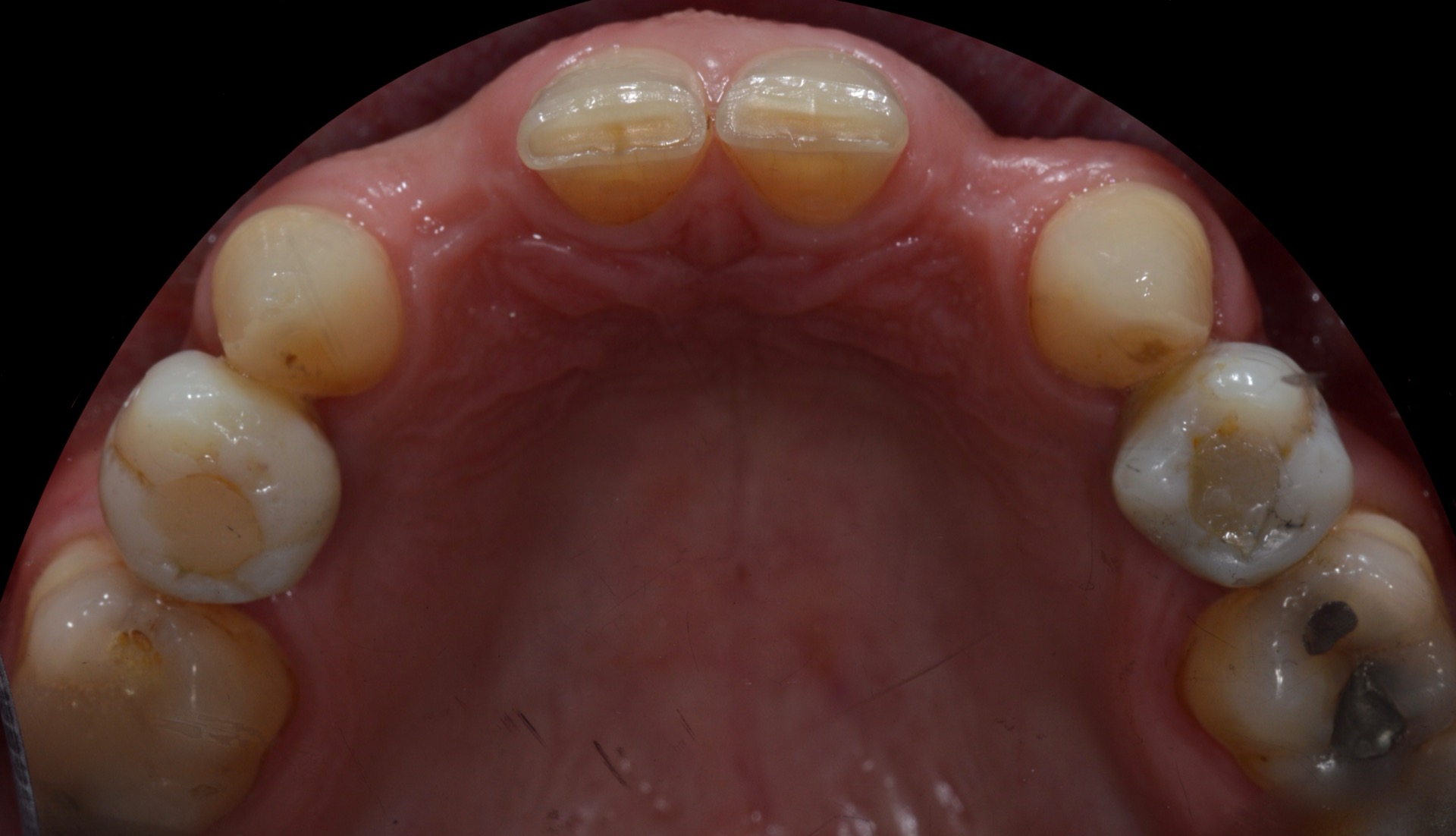
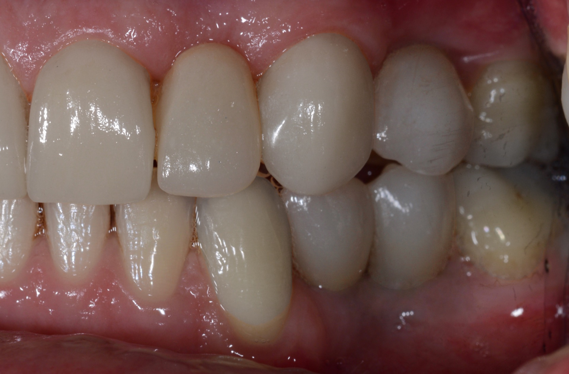
Τοποθετήθηκαν δύο εμφυτεύματα στην άνω και τέσσερα στην κάτω γνάθο (με ταυτόχρονη οστική ανάπλαση της περιοχής) για την αποκατάσταση των οπίσθιων δοντιών. Πριν την συνολική αποκατάσταση, πραγματοποιήθηκε ορθοδοντική θεραπεία για την δημιουργία χώρου για την χειρουργική τοποθέτηση των εμφυτευμάτων.
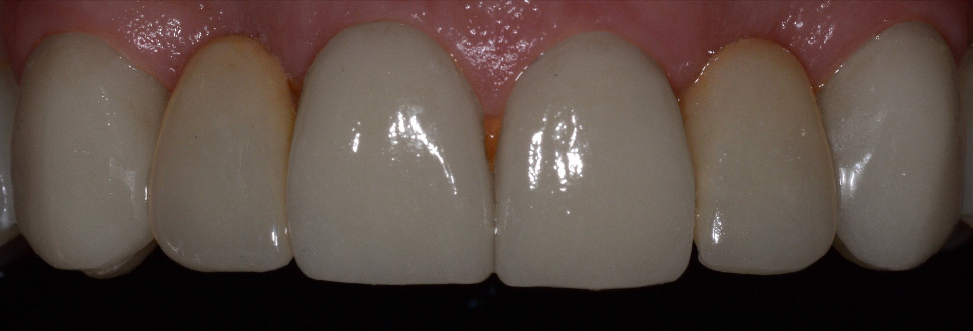
Τα άνω πρόσθια δόντια αποκαταστάθηκαν αισθητικά με κεραμικές όψεις και συγκολλούμενες ολοκεραμικές γέφυρες ζιρκονίου.
*Το περιεχόμενο της παρούσας δημοσίευσης έχει ενημερωτικό και εκπαιδευτικό χαρακτήρα. Οι εικόνες των περιστατικών δημοσιεύονται με ρητή συναίνεση των ασθενών. Κάθε θεραπεία είναι εξατομικευμένη και τα αποτελέσματα μπορεί να διαφέρουν από ασθενή σε ασθενή.








