
Συνολική αποκατάσταση φθαρμένης οδοντοφυΐας με ολοκεραμικές στεφάνες ζιρκονίου και όψεις ρητίνης
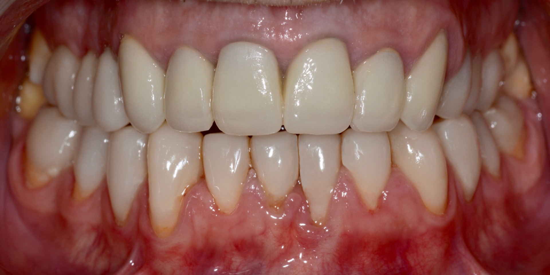
Ασθενής με σημαντικά φθαρμένη οδοντοφυΐα και σκελετικό πρόβλημα ανοικτής δήξης (μόνο οι πίσω γομφίοι σε επαφή κατά το κλείσιμο του στόματος), προσήλθε στην κλινική μας για την συνολική αντιμετώπιση του προβλήματός του.
Σκοπός της θεραπείας ήταν η αποκατάσταση της αισθητικής του χαμόγελου και της βελτίωσης της μασητικής ικανότητας του ασθενούς.
Τα άνω πρόσθια δόντια αποκαταστάθηκαν αισθητικά με ολοκεραμικές στεφάνες ζιρκονίου και τα κάτω πρόσθια δόντια με άμεσε ς όψεις ρητίνης. Η αποκατάσταση των φθαρμένων οπίσθιων δοντιών -και των δύο γνάθων- έγινε με συγκολλούμενα ολοκεραμικά επένθετα («μασητικές όψεις») διπυριτικού λιθίου.
Με αυτόν τον συντηρητικό τρόπο αντιμετώπισης αποφεύχθηκε ο εκτενής τροχισμός των οπίσθιων δοντιών και η περαιτέρω απώλεια οδοντικού ιστού.
*Το περιεχόμενο της παρούσας δημοσίευσης έχει ενημερωτικό και εκπαιδευτικό χαρακτήρα. Οι εικόνες των περιστατικών δημοσιεύονται με ρητή συναίνεση των ασθενών. Κάθε θεραπεία είναι εξατομικευμένη και τα αποτελέσματα μπορεί να διαφέρουν από ασθενή σε ασθενή.














