
Συνολική αποκατάσταση στόματος με συνδυασμό κεραμικών αποκαταστάσεων και όψεων ρητίνης
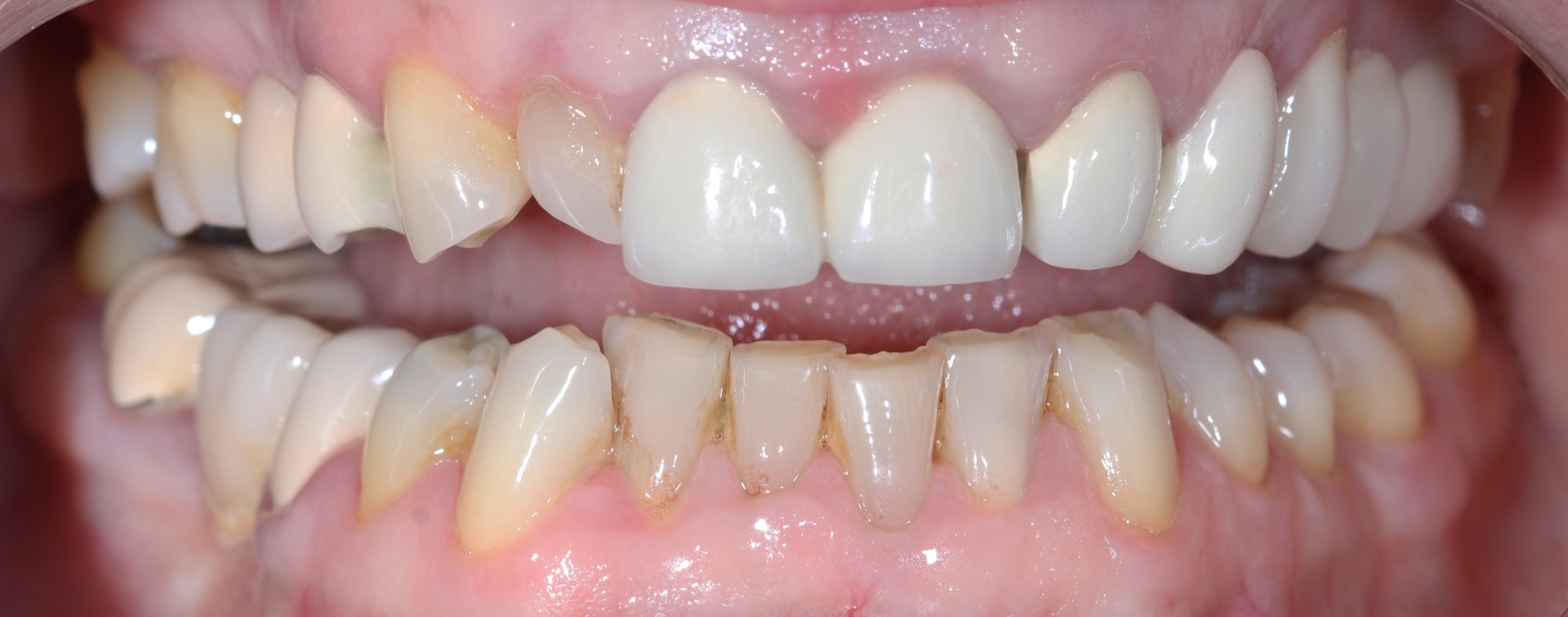
Ασθενής με αποδιοργανωμένη οδοντοφυΐα, κακότεχνες προσθετικές αποκαταστάσεις και έντονους πόνους στις αρθρώσεις των γνάθων, προσήλθε στην κλινική μας για την συνολική αισθητική και λειτουργική αντιμετώπιση του προβλήματός της.
Σκοπός της θεραπείας ήταν η εξάλειψη του πόνου στις αρθρώσεις, η αποκατάσταση της αισθητικής του χαμόγελου και η βελτίωση της μασητικής ικανότητας της ασθενούς. Σε πρώτη φάση, κατασκευάστηκε ένας σκληρός ενδοστοματικός νάρθηκας σταθεροποίησης για την εξάλειψη της συμπτωματολογίας από τις αρθρώσεις των γνάθων.
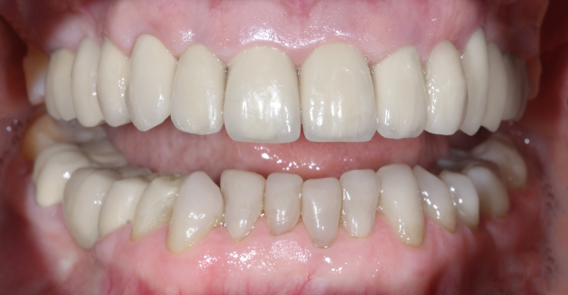
Εφόσον ο στόχος αυτός επετεύχθη πλήρως, προχωρήσαμε στο προσθετικό στάδιο της θεραπείας. Το πρώτο στάδιο περιελάμβανε την τοποθέτηση προσωρινών εργαστηριακών αποκαταστάσεων απο ακρυλική ρητίνη για την αξιολόγηση της αισθητικής, της φώνησης, της μάσησης και της σύγκλεισης των δοντιών, όπως επίσης και την επιβεβαίωση ότι οι προτεινόμενες αλλαγές δεν θα προκαλέσουν εκ νέου πόνους στις αρθρώσεις των γνάθων.
Στην συνέχεια, τοποθετήθηκαν μεταλλοκεραμικές στεφάνες και γέφυρες στα δόντια της άνω γνάθου, ενώ τα κάτω δόντια αποκαταστάθηκαν με τον συνδυασμό μιας μεταλλοκεραμικη γέφυρας τριών τεμαχίων (κάτω δεξιά) και έξι άμεσων όψεων ρητίνης (στα πρόσθια δόντια).
Μετά το πέρας της προσθετικής αποκατάστασης, ένας νέος ενδοστοματικός νάρθηκας σταθεροποίησης κατασκευάστηκε και παραδόθηκε στην ασθενή για την αποφυγή νέων επεισοδίων πόνου των αρθρώσεων των γνάθων, καθώς και την προστασία των νέων προσθετικών αποκαταστάσεων από φθορά.
*Το περιεχόμενο της παρούσ ας δημοσίευσης έχει ενημερωτικό και εκπαιδευτικό χαρακτήρα. Οι εικόνες των περιστατικών δημοσιεύονται με ρητή συναίνεση των ασθενών. Κάθε θεραπεία είναι εξατομικευμένη και τα αποτελέσματα μπορεί να διαφέρουν από ασθενή σε ασθενή.














