
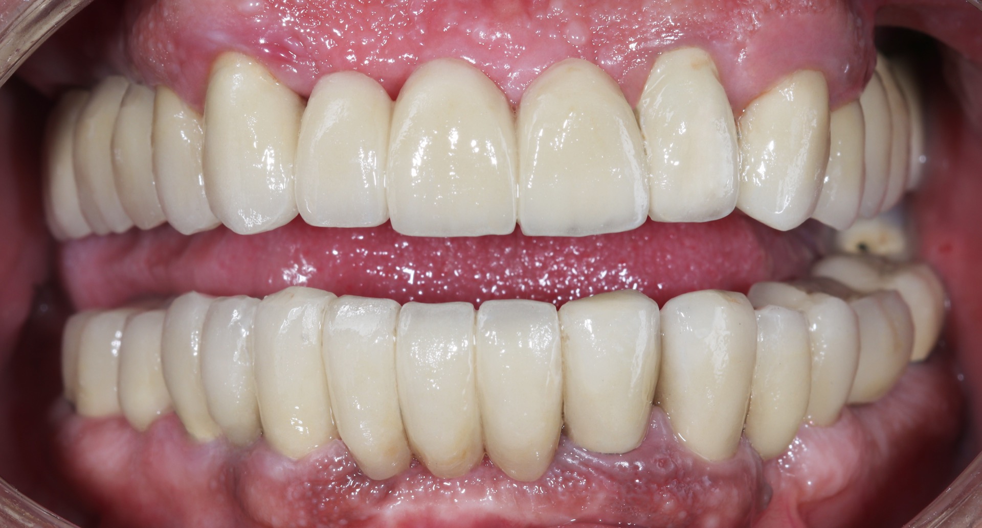
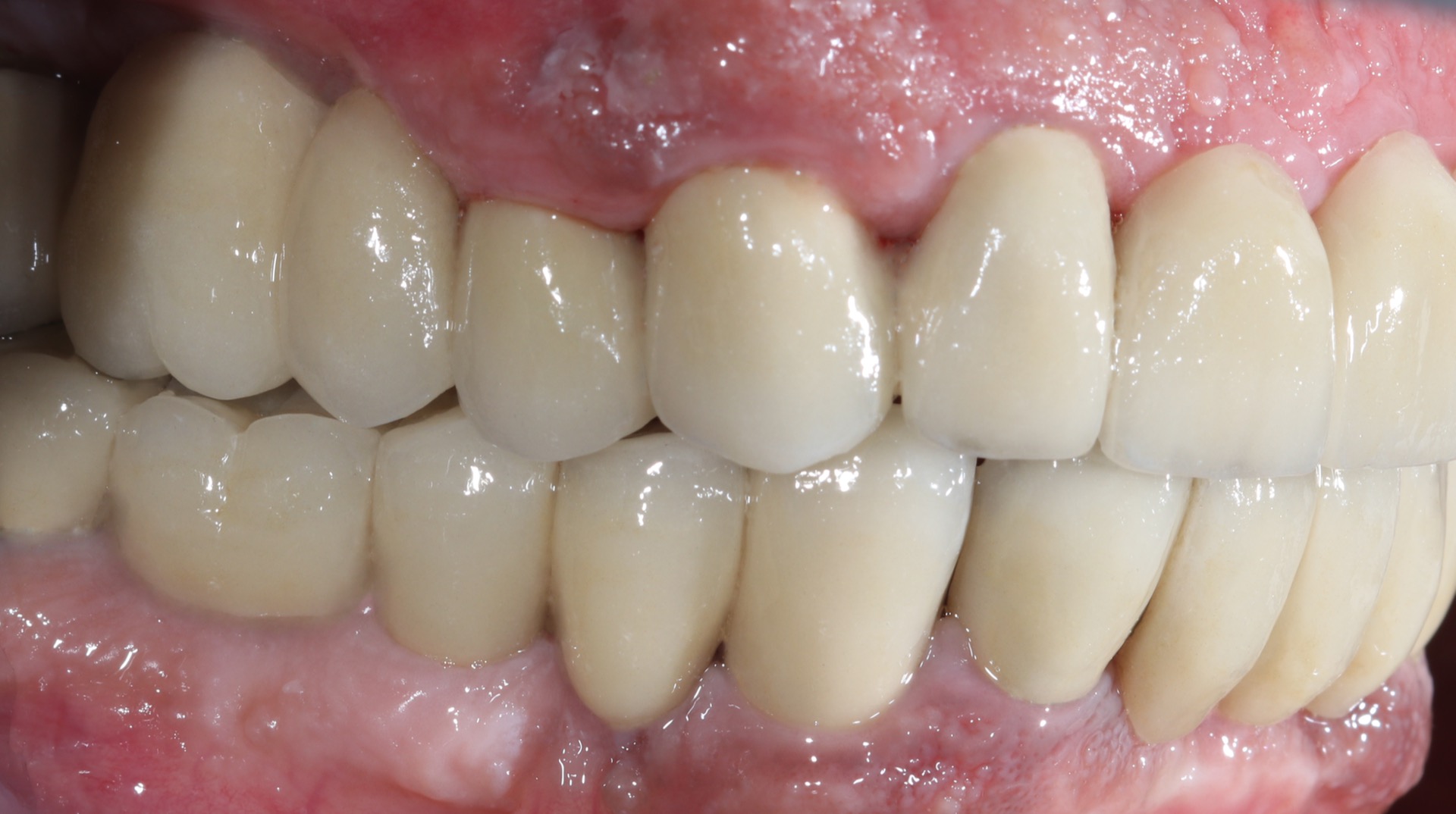
Συνολική αποκατάσταση στόματος με κεραμικές στεφάνες και γέφυρες
Ασθενής με ελλείψεις αρκετών δοντιών σε όλο τον φραγμό και κακότεχνες προσθετικές αποκαταστάσεις, προσήλθε στην κλινική μας για συνολική αισθητική και λειτουργική αντιμετώπιση του προβλήματός του.
Πριν την έναρξη των προσθετικών εργασιών, πραγματοποιήθηκε περιοδοντική θεραπεία (για τα ούλα) σε όλα τα δόντια του οδοντικού φραγμού.
Μετά την επούλωση των ούλων, το στόμα αποκαταστάθηκε με μεταλλοκεραμικές γέφυρες και στις δύο γνάθους.
*Το περιεχόμενο της παρούσας δημοσίευσης έχει εν ημερωτικό και εκπαιδευτικό χαρακτήρα. Οι εικόνες των περιστατικών δημοσιεύονται με ρητή συναίνεση των ασθενών. Κάθε θεραπεία είναι εξατομικευμένη και τα αποτελέσματα μπορεί να διαφέρουν από ασθενή σε ασθενή.







