
Συνολική αποκατάσταση φθαρμένης οδοντοφυΐας με ολοκεραμικές αποκαταστάσεις ολικής και μερικής κάλυψης
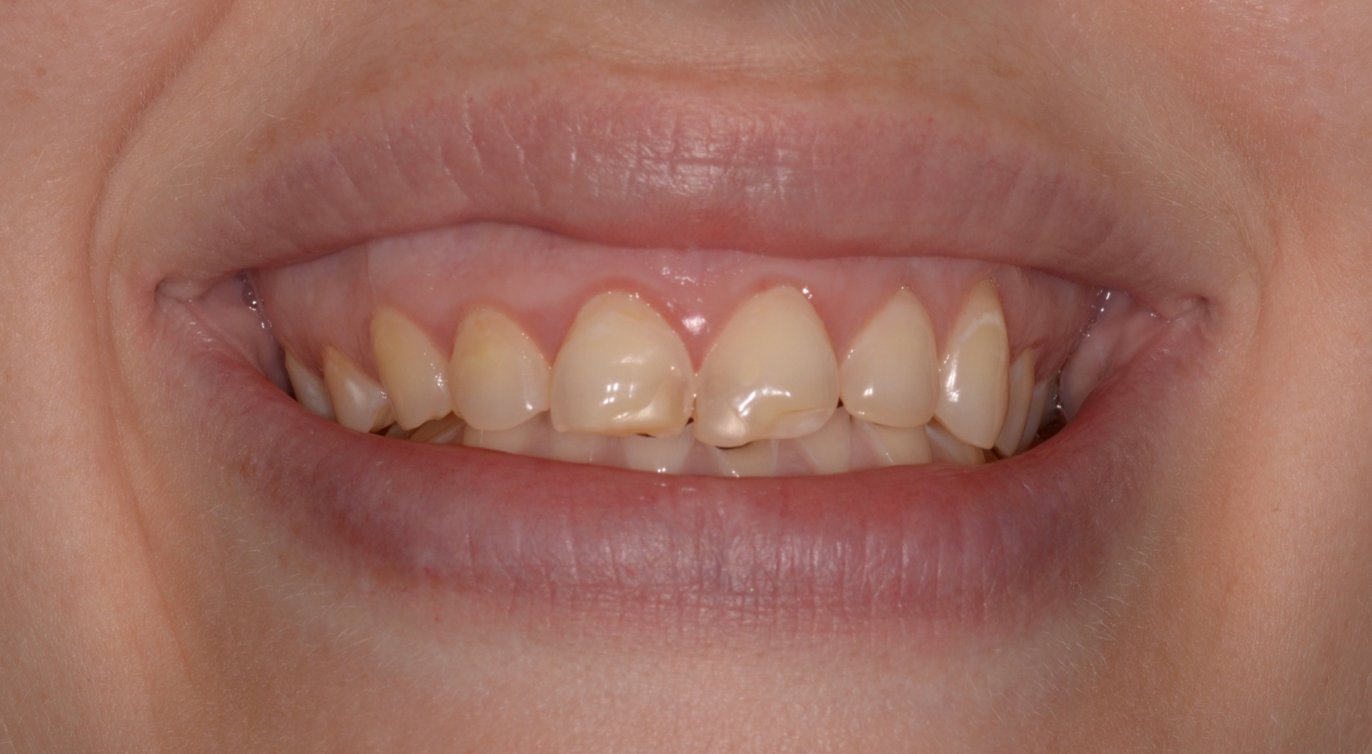
Ασθενής με εκτεταμένως φθαρμένη οδοντοφυΐα και πρόβλημα στην μάσηση προσήλθε στην κλινική μας για την συνολική αντιμετώπιση του προβλήματός της.
Σκοπός της θεραπείας ήταν η αποκατάσταση της αισθητικής του χαμόγελου και της βελτίωσης της μασητικής ικανότητας της ασθενούς.
Στα άνω πρόσθια δόντια πραγματοποιήθηκε αισθητική διαμόρφωση των ούλων και τοποθετήθηκαν ολοκεραμικές όψεις («διπλές», στην μπροστά και στην πίσω επιφάνεια των δοντιών), ενώ τα κάτω πρόσθια δόντια αποκαταστάθηκαν με ολοκεραμικές στεφάνες διπυριτικού λιθίου. Η αποκατάσταση των φθαρμένων δοντιών έγινε με συγκολλούμενα ολοκεραμικά επένθετα («μασητικές όψεις») διπυριτικού λιθίου.
Με αυτόν τον συντηρητικό τρόπο αντιμετώπισης αποφεύχθηκε ο εκτενής τροχισμός των οπίσθιων δοντιών και η περαιτέρω απώλεια οδοντικού ιστού.
*Το περιεχόμενο της παρούσας δημοσίευσης έχει ενημερωτικό και εκπαιδευτικό χαρακτήρα. Οι εικόνες των περιστατικών δημοσιεύονται με ρητή συναίνεση των ασθενών. Κάθε θεραπεία είναι εξατομικευμένη και τα αποτελέσματα μπορεί να διαφέρουν από ασθενή σε ασθενή.










