
Αποκατάσταση κεντρικού τομέα άνω γνάθου με εμφύτευμα
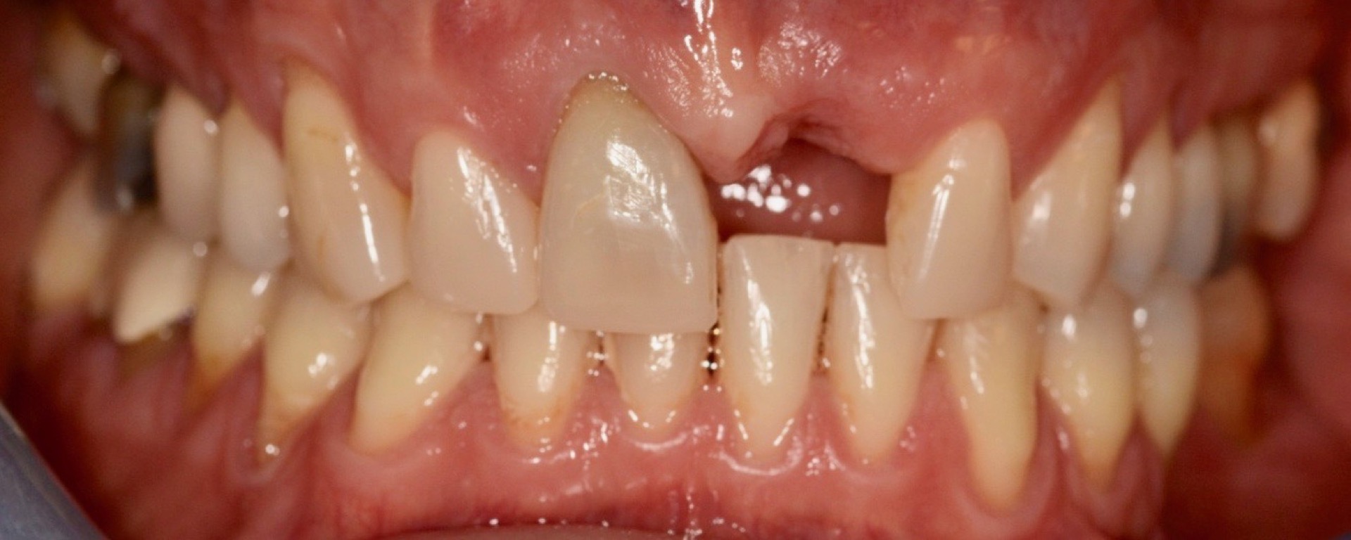
Ασθενής με έλλειψη του αριστερά κεντρικού τομέα της άνω γνάθου λόγω ατυχήματος, προσήλθε στην κλινική μας για την αισθητική αντιμετώπιση του προβλήματός του.
Αποφασίστηκε η τοποθέτηση ενός εμφυτεύματος στην θέση του ελλείματος, με ταυτόχρονη ανάπλαση του οστού. Τρεις μήνες μετά την τοποθέτηση του εμφυτεύματος, κατασκευάστηκε προσωρινή ακρυλική (πλαστική) στεφάνη για την αποκατάσταση της αισθητικής του χαμόγελου και για την αισθητική ανάπλαση των ούλων της περιοχής. Παράλληλα, έγινε εσωτερική λεύκανση του παρακείμενου δεξιά κεντρικού τομέα, ο οποίος είχε αποχρωματιστεί λόγω προηγηθείσας ενδοδοντικής θεραπείας (απονεύρωσης).
Μετά την αισθητική διαμόρφωση του περιγράμματος των ούλων γύρω από το εμφύτευμα με την προσωρινή στεφάνη, αυτή αντιγράφτηκε για την κατασκευή της τελικής επιεμφυτευματικής στεφάνης από διπυριτικό λίθιο με διαστρωμάτωση πορσελάνης.
*Το περιεχόμενο της παρούσας δημοσίευσης έχει ενημερωτικό και εκπαιδευτικό χαρακτήρα. Οι εικόνες των περιστατικών δημοσιεύονται με ρητή συναίνεση των ασθενών. Κάθε θεραπεία είναι εξατομικευμένη και τα αποτελέσματα μπορεί να διαφέρουν από ασθενή σε ασθενή.

