
Συνολική αποκατάσταση με εμφυτεύματα και συνδυασμό ακίνητης γέφυρας (άνω γνάθος) και επένθετης μερικής οδοντοστοιχίας (κάτω γνάθος)
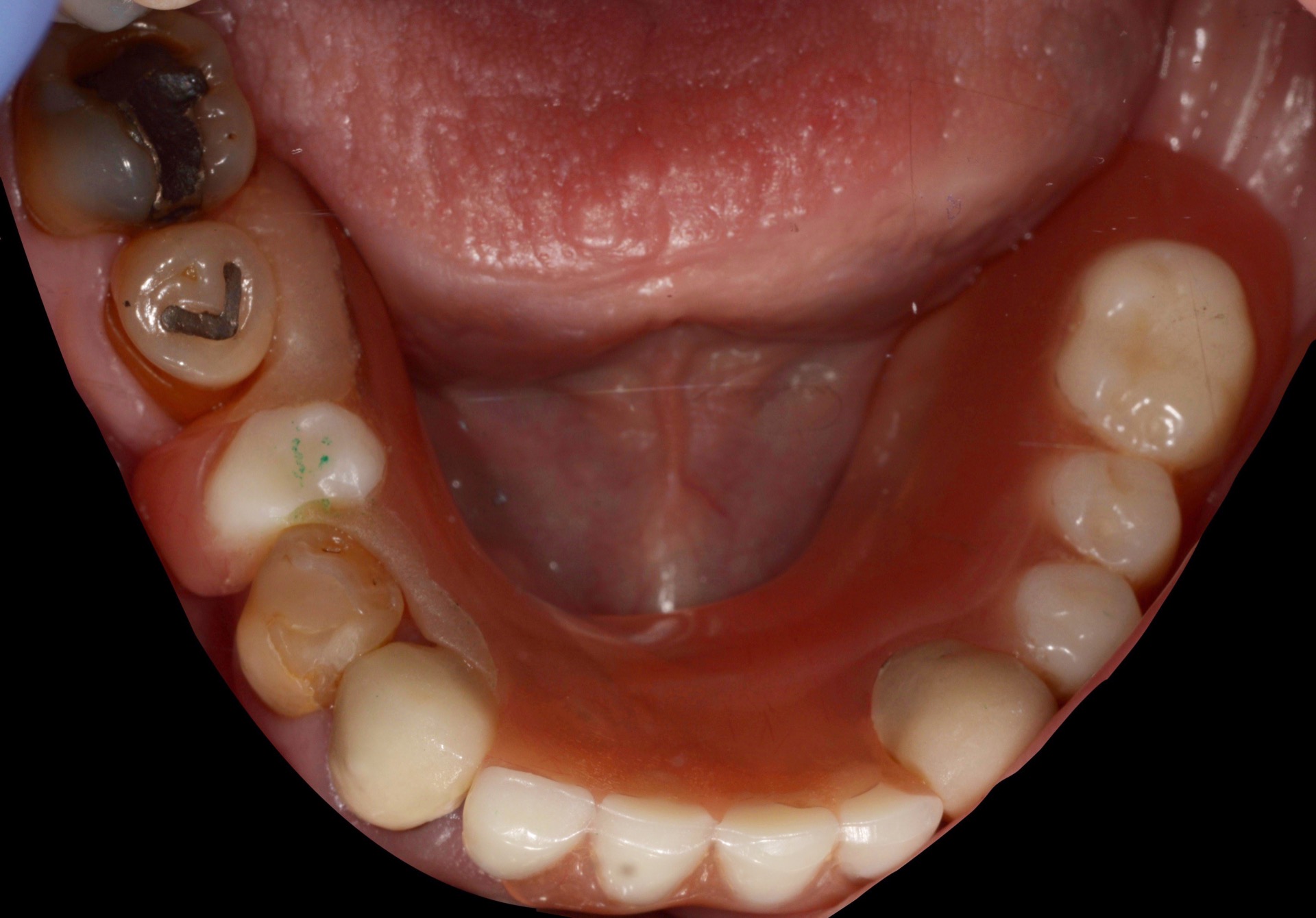
Ασθενής με προϋπάρχουσα ακρυλική οδοντοστοιχία πάνω σε 4 εμφυτεύματα στην άνω γνάθο και κινητή μερική οδοντοσ τοιχία στην κάτω γνάθο, προσήλθε στην κλινική μας καθώς δεν ήταν ευχαριστημένος με την αισθητική και την λειτουργικότητα των οδοντοστοιχιών του. Για την άνω γνάθο κατασκευάστηκε μια νέα επιεμφυτευματική γέφυρα από οξείδιο του ζιρκονίου (ολοκεραμική).
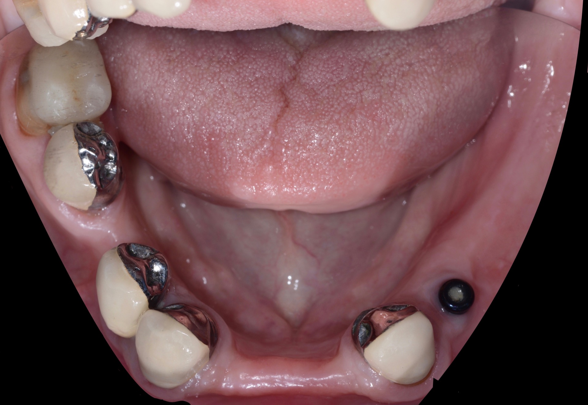
Στην κάτω γνάθο, τα υπάρχοντα δόντια δέχτηκαν στεφάνες, ενώ παράλληλα, τοποθετήθηκε ένα εμφύτευμα για την βελτίωση της συγκράτησης της νέας μερικής οδοντοστοιχίας που κατασκευάστηκε.
*Το περιεχόμενο της παρούσας δημοσίευσης έχει ενημερωτικό και εκπαιδευτικό χαρακτήρα. Οι εικόνες των περιστατικών δημοσιεύονται με ρητή συναίνεση των ασθενών. Κάθε θεραπεία είναι εξατομικευμένη και τα αποτελέσματα μπορεί να διαφέρουν από ασθενή σε ασθενή.











